UBASH3A 抗体 (Internal Region)
Our Local Distributor
北京 101111
Quick Overview for UBASH3A 抗体 (Internal Region) (ABIN190877)
抗原
See all UBASH3A 抗体适用
宿主
克隆类型
标记
应用范围
质量等级
-
-
抗原表位
- Internal Region
-
原理
- STS2 / TULA (internal)
-
序列
- QQCSTPDGKY YRPD
-
特异性
- This antibody is expected to recognize both reported isoforms (NP_061834.1 and NP_001001895.1).
-
交叉反应
- 犬, 人
-
纯化方法
- Purified from goat serum by ammonium sulphate precipitation followed by antigen affinity chromatography using the immunizing peptide.
-
免疫原
- Peptide with sequence QQCSTPDGKYYRPD, from the internal region of the protein sequence according to NP_061834.1, NP_001001895.1.
-
亚型
- IgG
-
-
-
-
应用备注
-
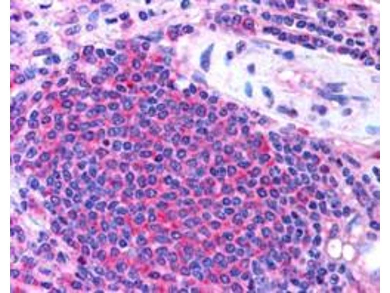
Immunohistochemistry: In paraffin embedded Human Spleen shows cytoplasm staining of T-cells eccentrically gathered around an artery. Recommended concentration: 2.5 μg/mL.
Western Blot: Preliminary experiments gave an approx 48 kDa band in lysates of B-cell line Daudi after 0.1 μg/mL antibody staining. Please note that currently we cannot find an explanation in the literature for the band we observe given the calculated size
Peptide ELISA: antibody detection limit dilution 1:64000.
-
限制
- 仅限研究用
-
-
-
状态
- Liquid
-
浓度
- 0.5 mg/mL
-
缓冲液
- Supplied at 0.5 mg/mL in Tris saline, 0.02 % sodium azide, pH 7.3 with 0.5 % bovine serum albumin.
-
储存液
- Sodium azide
-
注意事项
- This product contains Sodium azide: a POISONOUS AND HAZARDOUS SUBSTANCE which should be handled by trained staff only.
-
注意事项
- Minimize freezing and thawing.
-
储存条件
- -20 °C
-
储存方法
- Aliquot and store at -20°C, with minimal freeze/thawing. A working aliquot may be refrigerated at 4°C for a few weeks and still remain viable.
-
-
- UBASH3A (Ubiquitin Associated and SH3 Domain Containing, A (UBASH3A))
-
别名
- UBASH3A
-
背景
- TULA , STS2 CBL-interacting protein 4, UBASH3A, ubiquitin associated and SH3 domain containing, A , T-cell ubiquitin ligand protein, Suppressor of T-cell receptor signaling 2, CLIP4
-
基因ID
- 53347
-
NCBI登录号
- NP_061834, NP_001001895
抗原
-