电话:
+86 (0512) 65829739
传真:
+86 (010) 6788 5057
电子邮件:
orders@antibodies-online.cn

SLC25A47 抗体 (AA 242-254)

The 山羊 多克隆 anti-SLC25A47 antibody is suitable to detect SLC25A47 in samples from 人. It has been validated for ELISA 和 IHC.
产品编号 ABIN190871
发货至: 中国
Contact our Customer Service for availability and price in your country. Contact Info

Our Local Distributor

中国
北京 101111
No. 88 KeChuang 6th Street
Beijing Economic Technological Development Area
Room 801-803
4A Biotech Co.,Ltd.
Tel +86 (0512) 65829739 传真 +86 (010) 6788 5057

Quick Overview for SLC25A47 抗体 (AA 242-254) (ABIN190871)

抗原

See all SLC25A47 抗体
SLC25A47 (Solute Carrier Family 25, Member 47 (SLC25A47))

适用

  • 1
  • 1
  • 1

宿主

  • 1
山羊

克隆类型

  • 1
多克隆

标记

  • 1
This SLC25A47 antibody is un-conjugated

应用范围

ELISA, Immunohistochemistry (IHC)

质量等级

Verified
  • 抗原表位

    AA 242-254

    原理

    C14orf68 (aa242-254)

    序列

    KSRLQADGQG QRR

    交叉反应

    纯化方法

    Purified from goat serum by ammonium sulphate precipitation followed by antigen affinity chromatography using the immunizing peptide.

    免疫原

    Peptide with sequence C-KSRLQADGQGQRR, from the internal region of the protein sequence according to NP_997000.2.

    亚型

    IgG
  • 应用备注

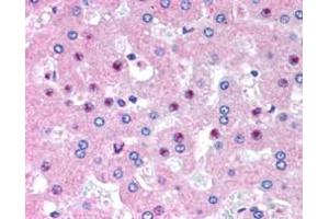
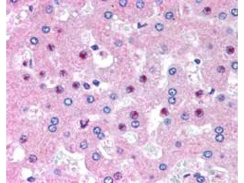
    Immunohistochemistry: In paraffin embedded Human Liver shows staining of nucleoli in select hepatocytes. Recommended concentration, 2.5 μg/mL.

    Western Blot: Preliminary experiments gave an approx 22 kDa band in Human Liver lysates after 0.5 μg/mL antibody staining. Please note that currently we cannot find an explanation in the literature for the band we observe given the calculated size of 33.4k

    Peptide ELISA: antibody detection limit dilution 1:32000.

    限制

    仅限研究用
  • 状态

    Liquid

    浓度

    0.5 mg/mL

    缓冲液

    Supplied at 0.5 mg/mL in Tris saline, 0.02 % sodium azide, pH 7.3 with 0.5 % bovine serum albumin.

    储存液

    Sodium azide

    注意事项

    This product contains Sodium azide: a POISONOUS AND HAZARDOUS SUBSTANCE which should be handled by trained staff only.

    注意事项

    Minimize freezing and thawing.

    储存条件

    -20 °C

    储存方法

    Aliquot and store at -20°C, with minimal freeze/thawing. A working aliquot may be refrigerated at 4°C for a few weeks and still remain viable.
  • 抗原

    SLC25A47 (Solute Carrier Family 25, Member 47 (SLC25A47))

    别名

    C14orf68

    背景

    C14orf68, chromosome 14 open reading frame 68 , HDMCP, HMFN1655 , hepatocellular carcinoma-downregulated mitochondrial carrier protein

    基因ID

    283600

    NCBI登录号

    NP_997000
You are here: