电话:
+86 (0512) 65829739
传真:
+86 (010) 6788 5057
电子邮件:
orders@antibodies-online.cn

P4HA1 抗体 (Internal Region)

The 山羊 多克隆 anti-P4HA1 antibody is suitable to detect P4HA1 in samples from 人. It has been validated for ELISA, IHC 和 IF.
产品编号 ABIN190847
发货至: 中国
Contact our Customer Service for availability and price in your country. Contact Info

Our Local Distributor

中国
北京 101111
No. 88 KeChuang 6th Street
Beijing Economic Technological Development Area
Room 801-803
4A Biotech Co.,Ltd.
Tel +86 (0512) 65829739 传真 +86 (010) 6788 5057

Quick Overview for P4HA1 抗体 (Internal Region) (ABIN190847)

抗原

See all P4HA1 抗体
P4HA1 (Prolyl 4-Hydroxylase, alpha Polypeptide I (P4HA1))

适用

  • 30
  • 10
  • 6
  • 4
  • 3
  • 3
  • 2
  • 2
  • 1
  • 1

宿主

  • 29
  • 3
山羊

克隆类型

  • 31
  • 1
多克隆

标记

  • 23
  • 3
  • 2
  • 2
  • 1
  • 1
This P4HA1 antibody is un-conjugated

应用范围

  • 26
  • 15
  • 9
  • 5
  • 3
  • 3
  • 1
ELISA, Immunohistochemistry (IHC), Immunofluorescence (IF)

质量等级

Verified
  • 抗原表位

    • 8
    • 6
    • 3
    • 3
    • 2
    • 1
    • 1
    • 1
    • 1
    • 1
    • 1
    • 1
    Internal Region

    原理

    P4HA1

    序列

    DFARKDEPDA FKE

    特异性

    This antibody is expected to recognise both reported isoforms (NP_000908.2 and NP_001017962.1).

    交叉反应

    Cow, 犬, 人

    纯化方法

    Purified from goat serum by ammonium sulphate precipitation followed by antigen affinity chromatography using the immunizing peptide.

    免疫原

    Peptide with sequence C-DFARKDEPDAFKE, from the internal region of the protein sequence according to NP_000908.2, NP_001017962.1.

    亚型

    IgG
  • 应用备注

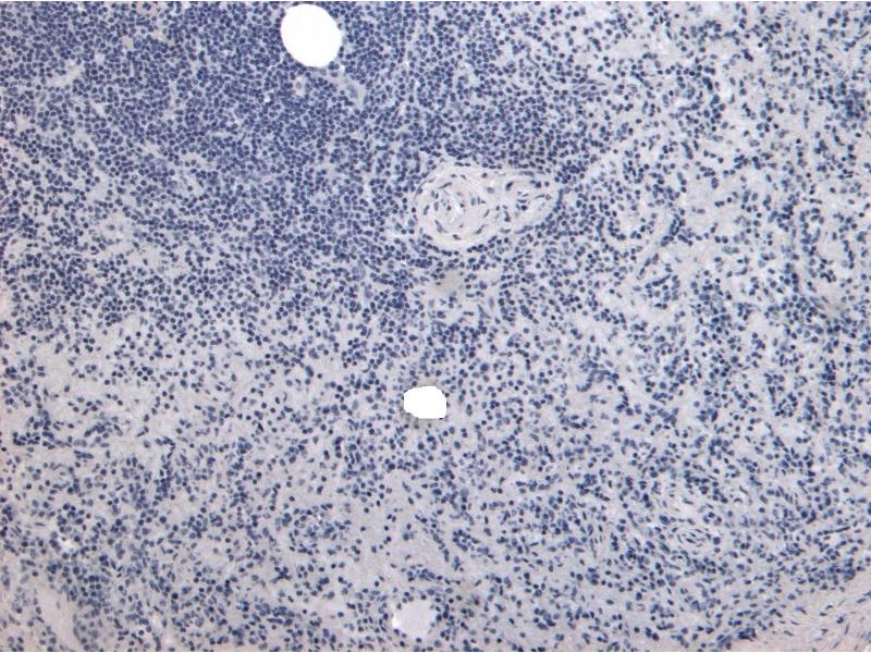
    Immunohistochemistry: Paraffin embedded Human Spleen. Recommended concentration: 7 μg/mL.

    Peptide ELISA: antibody detection limit dilution 1:128000.

    说明

    Immunofluorescence: Strong expression of the protein seen in the ER and cytoplasm of A431 cells. Recommended concentration: 10μg/ml.

    限制

    仅限研究用
  • 状态

    Liquid

    浓度

    0.5 mg/mL

    缓冲液

    Supplied at 0.5 mg/mL in Tris saline, 0.02 % sodium azide, pH 7.3 with 0.5 % bovine serum albumin.

    储存液

    Sodium azide

    注意事项

    This product contains Sodium azide: a POISONOUS AND HAZARDOUS SUBSTANCE which should be handled by trained staff only.

    注意事项

    Minimize freezing and thawing.

    储存条件

    -20 °C

    储存方法

    Aliquot and store at -20°C, with minimal freeze/thawing. A working aliquot may be refrigerated at 4°C for a few weeks and still remain viable.
  • 抗原

    P4HA1 (Prolyl 4-Hydroxylase, alpha Polypeptide I (P4HA1))

    别名

    P4HA1

    背景

    P4HA1, procollagen-proline, 2-oxoglutarate 4-dioxygenase (proline 4-hydroxylase), alpha polypeptide I, 4-PH alpha-1, P4HA , prolyl 4-hydroxylase, alpha I subunit

    基因ID

    5033, 18451, 64475

    NCBI登录号

    NP_000908, NP_001017962
You are here: