电话:
+86 (0512) 65829739
传真:
+86 (010) 6788 5057
电子邮件:
orders@antibodies-online.cn

PLIN1 抗体 (Internal Region)

The 山羊 多克隆 anti-PLIN1 antibody (ABIN190818) specifically detects PLIN1 in WB, ELISA 和 IHC. The antibody is reactive with 人 samples.
产品编号 ABIN190818
发货至: 中国
Contact our Customer Service for availability and price in your country. Contact Info

Our Local Distributor

中国
北京 101111
No. 88 KeChuang 6th Street
Beijing Economic Technological Development Area
Room 801-803
4A Biotech Co.,Ltd.
Tel +86 (0512) 65829739 传真 +86 (010) 6788 5057

Quick Overview for PLIN1 抗体 (Internal Region) (ABIN190818)

抗原

See all PLIN1 抗体
PLIN1 (Perilipin 1 (PLIN1))

适用

  • 68
  • 63
  • 44
  • 7
  • 4
  • 2
  • 2
  • 2
  • 2
  • 2
  • 1
  • 1
  • 1

宿主

  • 78
  • 5
  • 4
  • 1
  • 1
山羊

克隆类型

  • 64
  • 25
多克隆

标记

  • 34
  • 5
  • 4
  • 3
  • 3
  • 3
  • 3
  • 3
  • 3
  • 3
  • 2
  • 2
  • 2
  • 2
  • 2
  • 2
  • 2
  • 2
  • 2
  • 2
  • 2
  • 1
  • 1
  • 1
This PLIN1 antibody is un-conjugated

应用范围

  • 71
  • 17
  • 16
  • 16
  • 15
  • 13
  • 13
  • 13
  • 4
  • 4
  • 4
Western Blotting (WB), ELISA, Immunohistochemistry (IHC)

质量等级

Verified
  • 抗原表位

    • 16
    • 15
    • 5
    • 5
    • 5
    • 2
    • 2
    • 1
    • 1
    • 1
    • 1
    • 1
    • 1
    • 1
    • 1
    • 1
    Internal Region

    原理

    Perilipin 1 (internal)

    序列

    PREKPKRRVS DS

    交叉反应

    纯化方法

    Purified from goat serum by ammonium sulphate precipitation followed by antigen affinity chromatography using the immunizing peptide.

    免疫原

    Peptide with sequence C-PREKPKRRVSDS, from the internal region (near the C Terminus) of the protein sequence according to NP_002657.2.

    亚型

    IgG
  • 应用备注

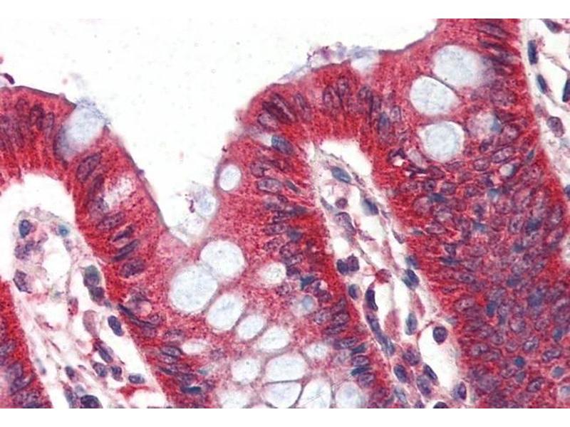
    Immunohistochemistry: Paraffin embedded Human Colon. Recommended concentration: 2 μg/mL.

    Western Blot: Approx 60 kDa band observed in Human Adipose lysates (calculated MW of 56.0 kDa according to NP_002657.2). Recommended concentration: 0.01 μg/mL. Primary incubation was 1 hour.

    Peptide ELISA: antibody detection limit dilution 1:128000.

    说明

    This product is not suitable for IF.

    限制

    仅限研究用
  • 状态

    Liquid

    浓度

    0.5 mg/mL

    缓冲液

    Supplied at 0.5 mg/mL in Tris saline, 0.02 % sodium azide, pH 7.3 with 0.5 % bovine serum albumin.

    储存液

    Sodium azide

    注意事项

    This product contains Sodium azide: a POISONOUS AND HAZARDOUS SUBSTANCE which should be handled by trained staff only.

    注意事项

    Minimize freezing and thawing.

    储存条件

    -20 °C

    储存方法

    Aliquot and store at -20°C, with minimal freeze/thawing. A working aliquot may be refrigerated at 4°C for a few weeks and still remain viable.
  • 抗原

    PLIN1 (Perilipin 1 (PLIN1))

    别名

    PLIN

    背景

    PLIN1, PLIN, perilipin, PERI, lipid droplet-associated protein

    基因ID

    5346

    NCBI登录号

    NP_002657

    途径

    Lipid Metabolism
You are here: