RER1 抗体 (C-Term)
Our Local Distributor
北京 101111
Quick Overview for RER1 抗体 (C-Term) (ABIN190761)
抗原
See all RER1 抗体适用
宿主
克隆类型
标记
应用范围
质量等级
-
-
抗原表位
- C-Term
-
原理
- RER1
-
序列
- HGKRRYRGKE DAGK
-
交叉反应
- 人
-
纯化方法
- Purified from goat serum by ammonium sulphate precipitation followed by antigen affinity chromatography using the immunizing peptide.
-
免疫原
- Peptide with sequence C-HGKRRYRGKEDAGK, from the C Terminus of the protein sequence according to NP_008964.3.
-
亚型
- IgG
-
-
-
-
应用备注
-
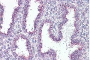
Immunohistochemistry: Paraffin embedded Human Uterus. Recommended concentration: 3.75 μg/mL.
Western Blot: Preliminary experiments gave an approx 45 kDa band in Human Brain lysates after 0.01 μg/mL antibody staining. Please note that currently we cannot find an explanation in the literature for the band we observe given the calculated size of 22.9
Peptide ELISA: antibody detection limit dilution 1:128000.
-
限制
- 仅限研究用
-
-
-
状态
- Liquid
-
浓度
- 0.5 mg/mL
-
缓冲液
- Supplied at 0.5 mg/mL in Tris saline, 0.02 % sodium azide, pH 7.3 with 0.5 % bovine serum albumin.
-
储存液
- Sodium azide
-
注意事项
- This product contains Sodium azide: a POISONOUS AND HAZARDOUS SUBSTANCE which should be handled by trained staff only.
-
注意事项
- Minimize freezing and thawing.
-
储存条件
- -20 °C
-
储存方法
- Aliquot and store at -20°C, with minimal freeze/thawing. A working aliquot may be refrigerated at 4°C for a few weeks and still remain viable.
-
-
- RER1 (RER1 Retention in Endoplasmic Reticulum 1 Homolog (RER1))
-
别名
- RER1
-
背景
- RER1, RER1 retention in endoplasmic reticulum 1 homolog (S. cerevisiae), RP4-740C4.2, RER1 homolog, RER1 retention in endoplasmic reticulum 1
-
基因ID
- 11079, 67830
-
NCBI登录号
- NP_008964
抗原
-