电话:
+86 (0512) 65829739
传真:
+86 (010) 6788 5057
电子邮件:
orders@antibodies-online.cn

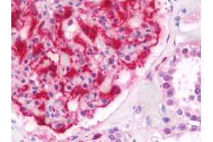
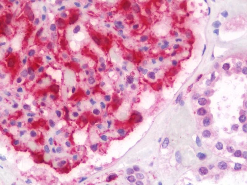
IFNA2 抗体 (AA 125-188)

The 兔 多克隆 anti-IFNA2 antibody (ABIN1904484) specifically detects IFNA2 in WB, IHC, ICC 和 IHC (p). The antibody is reactive with 人 和 猴 samples.
产品编号 ABIN1904484
发货至: 中国
Contact our Customer Service for availability and price in your country. Contact Info

Our Local Distributor

中国
北京 101111
No. 88 KeChuang 6th Street
Beijing Economic Technological Development Area
Room 801-803
4A Biotech Co.,Ltd.
Tel +86 (0512) 65829739 传真 +86 (010) 6788 5057

Quick Overview for IFNA2 抗体 (AA 125-188) (ABIN1904484)

抗原

See all IFNA2 抗体
IFNA2 (Interferon, alpha 2 (IFNA2))

适用

  • 79
  • 5
  • 3
人, 猴

宿主

  • 48
  • 34
  • 4

克隆类型

  • 46
  • 36
  • 2
多克隆

标记

  • 36
  • 10
  • 4
  • 3
  • 2
  • 2
  • 2
  • 2
  • 2
  • 2
  • 1
  • 1
  • 1
  • 1
  • 1
  • 1
  • 1
  • 1
  • 1
  • 1
  • 1
  • 1
  • 1
  • 1
  • 1
  • 1
  • 1
  • 1
  • 1
This IFNA2 antibody is un-conjugated

应用范围

  • 42
  • 33
  • 16
  • 15
  • 14
  • 9
  • 9
  • 9
  • 8
  • 5
  • 4
  • 4
  • 2
  • 2
  • 2
  • 2
  • 1
  • 1
  • 1
  • 1
  • 1
Western Blotting (WB), Immunohistochemistry (IHC), Immunocytochemistry (ICC), Immunohistochemistry (Paraffin-embedded Sections) (IHC (p))
  • 抗原表位

    • 18
    • 2
    • 1
    • 1
    • 1
    • 1
    AA 125-188

    特异性

    Human IFNA / Interferon Alpha 2

    纯化方法

    Immunoaffinity purified

    免疫原

    Synthetic peptide corresponding to a region within amino acids 125 and 188 of Interferon alpha 2 (SwissProt P01563). Percent identity by BLAST analysis: Human, Monkey (100%).

    Type of Immunogen: Synthetic peptide

    亚型

    IgG
  • 应用备注

    Approved: ICC (1:100 - 1:1000), IHC, IHC-P (7.5 μg/mL), WB (1:500 - 1:3000)

    Usage: IHC-paraffin: Suggested antigen retrieval using heat mediated 10 mM Citrate buffer (  pH 6.0) or Tris-EDTA buffer (  pH 8.0).

    说明

    Target Species of Antibody: Human

    限制

    仅限研究用
  • 状态

    Liquid

    浓度

    Lot specific

    缓冲液

    0.1 M Tris-glycine,  pH 7.0, 10 % glycerol, 0.01 % Thimerosal

    储存液

    Thimerosal (Merthiolate)

    注意事项

    This product contains Thimerosal (Merthiolate): a POISONOUS AND HAZARDOUS SUBSTANCE which should be handled by trained staff only.

    注意事项

    Avoid multiple freeze-thaw cycles.

    储存条件

    -20 °C

    储存方法

    Keep as concentrated solution. Aliquot and store at -20°C or below. Avoid multiple freeze-thaw cycles.
  • 抗原

    IFNA2 (Interferon, alpha 2 (IFNA2))

    别名

    IFNA2 / Interferon Alpha 2

    背景

    Name/Gene ID: IFNA2
    Family: Interferon

    Synonyms: IFNA2, Alpha-2a interferon, IFNA, IFN-alphaA, Interferon alpha 2b, Interferon alpha A, Interferon alpha-A, INFA2, Interferon alpha 2a, LeIF A, IFNA2B, IFN-alpha-2, Interferon alpha-2, Interferon, alpha 2

    基因ID

    3440

    途径

    JAK/STAT Signaling, Regulation of Leukocyte Mediated Immunity, Production of Molecular Mediator of Immune Response, Hepatitis C
You are here: