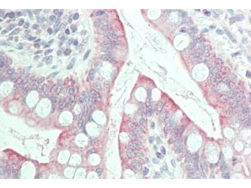
GPR31 抗体 (N-Term)
Our Local Distributor
北京 101111
Quick Overview for GPR31 抗体 (N-Term) (ABIN1899767)
抗原
See all GPR31 抗体适用
宿主
克隆类型
标记
应用范围
-
-
抗原表位
- N-Term
-
特异性
- Human GPR31
-
纯化方法
- Affinity purified
-
免疫原
-
Synthetic peptide from N-terminus of human GPR31.
Type of Immunogen: Synthetic peptide -
亚型
- IgG
-
-
-
-
应用备注
- Approved: ELISA (1:500), Flo (1:200), IF (1:100), IHC, IHC-P (1:100 - 1:11)
-
说明
-
Target Species of Antibody: Human
-
限制
- 仅限研究用
-
-
-
状态
- Lyophilized
-
溶解方式
- Reconstitute with 500 μL deionized water
-
浓度
- Lot specific
-
缓冲液
- Lyophilized from TBS, pH 7.4.
-
注意事项
- Avoid freeze/thaw cycles.
-
储存条件
- 4 °C,-20 °C
-
储存方法
- Stable for 1 month if stored at 4°C, 6 months if stored at -20°C (reconstituted) and 1 year at -20°C (as supplied). Avoid freeze-thaw cycles.
-
-
- GPR31 (G Protein-Coupled Receptor 31 (GPR31))
-
别名
- GPR31
-
背景
-
Name/Gene ID: GPR31
Subfamily: Orphan-A
Family: GPCR
Synonyms: GPR31, 12-(S)-HETE acid receptor, 12-(S)-HETE receptor, 12-HETER, G-protein coupled receptor 31, HETER, HETER1, TCP10C, G protein-coupled receptor 31 -
基因ID
- 2853
抗原
-