FUT2 抗体 (AA 27-40)
Our Local Distributor
北京 101111
Quick Overview for FUT2 抗体 (AA 27-40) (ABIN1896828)
抗原
See all FUT2 抗体适用
宿主
克隆类型
标记
应用范围
-
-
抗原表位
- AA 27-40
-
特异性
- Human FUT2 / SE. Reported variants represent identical protein: NP_001091107.1, NP_000502.4
-
纯化方法
- Immunoaffinity purified
-
免疫原
-
Synthetic peptide C-HVQQRLAKIQAMWE from an internal region (near N-terminus) of human FUT2 / SE (NP_000502.4). Percent identity by BLAST analysis: Human, Chimpanzee, Gorilla, Gibbon (100%), Orangutan, Marmoset (93%), Monkey (86%).
Type of Immunogen: Synthetic peptide
-
-
-
-
应用备注
-
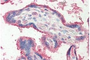
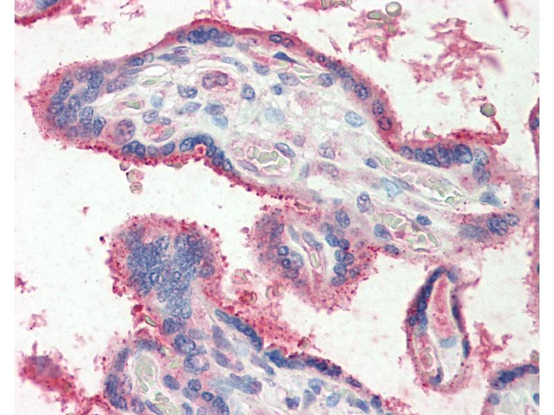
Approved: IHC, IHC-P (5 μg/mL), Peptide-ELISA (1:64000), WB (1 - 3 μg/mL)
Usage: Peptide ELISA: antibody detection limit dilution 1:64000. Western blot: Approx 37kD band observed in Human Liver lysates (calculated MW of 39.0kD according to NP_000502.4. Recommended concentration: 1-3 μg/mL. -
说明
-
Target Species of Antibody: Human
-
限制
- 仅限研究用
-
-
-
状态
- Liquid
-
浓度
- Lot specific
-
缓冲液
- Tris-buffered saline, pH 7.3, 0.5 % BSA, 0.02 % sodium azide
-
储存液
- Sodium azide
-
注意事项
- This product contains Sodium azide: a POISONOUS AND HAZARDOUS SUBSTANCE which should be handled by trained staff only.
-
注意事项
- Minimize freezing and thawing.
-
储存条件
- -20 °C
-
储存方法
- Store at -20°C. Avoid freeze-thaw cycles.
-
-
- FUT2 (Fucosyltransferase 2 (Secretor Status Included) (FUT2))
-
别名
- FUT2 / SE
-
背景
-
Name/Gene ID: FUT2
Synonyms: FUT2, Alpha (1,2) fucosyltransferase, Alpha(1,2)FT2, Alpha(1,2)FT 2, SEC2, Se2, Secretor factor, Sej, B12QTL1, Fucosyltransferase 2, SE -
基因ID
- 2524
-
NCBI登录号
- NP_000502
抗原
-