电话:
+86 (0512) 65829739
传真:
+86 (010) 6788 5057
电子邮件:
orders@antibodies-online.cn

Cyclin B1 抗体 (AA 103-130)

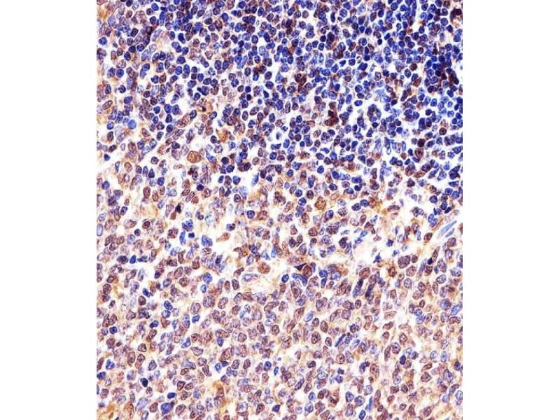
The 兔 多克隆 anti-Cyclin B1 antibody is suitable to detect Cyclin B1 in samples from 小鼠. It has been validated for WB 和 IHC (p).
产品编号 ABIN1881515
发货至: 中国
Contact our Customer Service for availability and price in your country. Contact Info

Our Local Distributor

中国
北京 101111
No. 88 KeChuang 6th Street
Beijing Economic Technological Development Area
Room 801-803
4A Biotech Co.,Ltd.
Tel +86 (0512) 65829739 传真 +86 (010) 6788 5057

Quick Overview for Cyclin B1 抗体 (AA 103-130) (ABIN1881515)

抗原

See all Cyclin B1 (CCNB1) 抗体
Cyclin B1 (CCNB1)

适用

  • 230
  • 100
  • 45
  • 24
  • 21
  • 16
  • 5
  • 4
  • 4
  • 3
  • 3
  • 2
  • 2
  • 1
  • 1
小鼠

宿主

  • 196
  • 41
  • 1

克隆类型

  • 146
  • 92
多克隆

标记

  • 111
  • 12
  • 6
  • 6
  • 6
  • 4
  • 4
  • 4
  • 4
  • 4
  • 4
  • 4
  • 4
  • 4
  • 4
  • 4
  • 4
  • 4
  • 4
  • 4
  • 4
  • 4
  • 3
  • 3
  • 3
  • 3
  • 3
  • 3
  • 3
  • 3
  • 3
  • 2
This Cyclin B1 antibody is un-conjugated

应用范围

  • 166
  • 87
  • 76
  • 67
  • 59
  • 41
  • 40
  • 39
  • 35
  • 26
  • 11
  • 9
  • 9
  • 8
  • 4
  • 2
  • 2
  • 1
  • 1
Western Blotting (WB), Immunohistochemistry (Paraffin-embedded Sections) (IHC (p))

克隆位点

RB42994
  • 抗原表位

    • 40
    • 22
    • 16
    • 16
    • 8
    • 8
    • 7
    • 3
    • 3
    • 3
    • 2
    • 2
    • 2
    • 2
    • 2
    • 2
    • 2
    • 2
    • 2
    • 2
    • 2
    • 2
    • 2
    • 2
    • 1
    • 1
    • 1
    • 1
    • 1
    • 1
    • 1
    • 1
    • 1
    • 1
    • 1
    AA 103-130

    预测反应

    Ha

    纯化方法

    This antibody is purified through a protein A column, followed by peptide affinity purification.

    免疫原

    This Mouse CCNB1 antibody is generated from rabbits immunized with a KLH conjugated synthetic peptide between 103-130 amino acids from the Central region of mouse CCNB1.

    亚型

    Ig Fraction
  • 应用备注

    WB: 1:1000. IHC-P: 1:25. IHC-P: 1:25

    限制

    仅限研究用
  • 状态

    Liquid

    缓冲液

    Purified polyclonal antibody supplied in PBS with 0.09 % (W/V) sodium azide.

    储存液

    Sodium azide

    注意事项

    This product contains Sodium azide: a POISONOUS AND HAZARDOUS SUBSTANCE which should be handled by trained staff only.

    储存条件

    4 °C,-20 °C

    有效期

    6 months
  • 抗原

    Cyclin B1 (CCNB1)

    别名

    CCNB1

    背景

    Essential for the control of the cell cycle at the G2/M (mitosis) transition.

    分子量

    48052

    NCBI登录号

    NP_758505

    UniProt

    P24860

    途径

    Cell Division Cycle, AMPK Signaling, Mitotic G1-G1/S Phases, M Phase
You are here: