电话:
+86 (0512) 65829739
传真:
+86 (010) 6788 5057
电子邮件:
orders@antibodies-online.cn

Hemoglobin, epsilon 1 (HBe1) (AA 55-83) 抗体

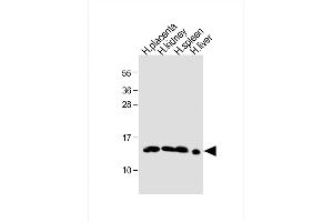
This 兔 多克隆 antibody specifically detects Hemoglobin, epsilon 1 in WB, FACS 和 IHC (p). It exhibits reactivity toward 人. It has been mentioned in 3+ publications
产品编号 ABIN1881403
发货至: 中国
Contact our Customer Service for availability and price in your country. Contact Info

Our Local Distributor

中国
北京 101111
No. 88 KeChuang 6th Street
Beijing Economic Technological Development Area
Room 801-803
4A Biotech Co.,Ltd.
Tel +86 (0512) 65829739 传真 +86 (010) 6788 5057

Quick Overview for Hemoglobin, epsilon 1 (HBe1) (AA 55-83) 抗体 (ABIN1881403)

抗原

See all Hemoglobin, epsilon 1 (HBe1) 抗体
Hemoglobin, epsilon 1 (HBe1)

适用

  • 29
  • 2
  • 2
  • 1
  • 1
  • 1
  • 1
  • 1
  • 1
  • 1
  • 1

宿主

  • 26
  • 3

克隆类型

  • 26
  • 3
多克隆

标记

  • 14
  • 3
  • 2
  • 2
  • 1
  • 1
  • 1
  • 1
  • 1
  • 1
  • 1
  • 1
非结合性

应用范围

  • 17
  • 16
  • 6
  • 2
  • 2
  • 1
  • 1
Western Blotting (WB), Flow Cytometry (FACS), Immunohistochemistry (Paraffin-embedded Sections) (IHC (p))

克隆位点

RB41552
  • 抗原表位

    • 6
    • 6
    • 3
    AA 55-83

    预测反应

    Rb

    纯化方法

    This antibody is purified through a protein A column, followed by peptide affinity purification.

    免疫原

    This HBE1 antibody is generated from rabbits immunized with a KLH conjugated synthetic peptide between 55-83 amino acids from the Central region of human HBE1.

    亚型

    Ig Fraction
  • 应用备注

    WB: 1:1000. WB: 1:1000. WB: 1:8000. IHC-P-Leica: 1:500. FC: 1:25

    限制

    仅限研究用
  • 状态

    Liquid

    缓冲液

    Purified polyclonal antibody supplied in PBS with 0.09 % (W/V) sodium azide.

    储存液

    Sodium azide

    注意事项

    This product contains Sodium azide: a POISONOUS AND HAZARDOUS SUBSTANCE which should be handled by trained staff only.

    储存条件

    4 °C,-20 °C

    有效期

    6 months
  • Wang, Wang, Ma, Nie, Ju, Liu, Deng, Yao, Gui, Li, Guo, Ma, Tan, Zhao: "Heterochromatin Protein 1γ Is a Novel Epigenetic Repressor of Human Embryonic ϵ-Globin Gene Expression." in: The Journal of biological chemistry, Vol. 292, Issue 12, pp. 4811-4817, (2017) (PubMed).

    Tachavanich, Viprakasit, Chinchang, Glomglao, Pung-Amritt, Tanphaichitr: "Clinical and hematological phenotype of homozygous hemoglobin E: revisit of a benign condition with hidden reproductive risk." in: The Southeast Asian journal of tropical medicine and public health, Vol. 40, Issue 2, pp. 306-16, (2009) (PubMed).

    Das, Sengupta: "HbE genotypes and fertility: a study on a Tibeto-Burmese population in Upper Assam, India." in: Annals of human biology, Vol. 35, Issue 4, pp. 422-31, (2008) (PubMed).

  • 抗原

    Hemoglobin, epsilon 1 (HBe1)

    别名

    HBE1

    背景

    The epsilon globin gene (HBE) is normally expressed in the embryonic yolk sac: two epsilon chains together with two zeta chains (an alpha-like globin) constitute the embryonic hemoglobin Hb Gower I, two epsilon chains together with two alpha chains form the embryonic Hb Gower II. Both of these embryonic hemoglobins are normally supplanted by fetal, and later, adult hemoglobin. The five beta-like globin genes are found within a 45 kb cluster on chromosome 11 in the following order: 5'-epsilon - G-gamma - A-gamma - delta - beta-3'

    分子量

    16203

    NCBI登录号

    NP_005321

    UniProt

    P02100
You are here: