电话:
+86 (0512) 65829739
传真:
+86 (010) 6788 5057
电子邮件:
orders@antibodies-online.cn

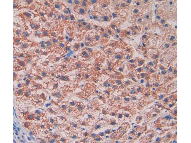
Reelin 抗体 (AA 3142-3460)

The 兔 多克隆 anti-Reelin antibody is suitable to detect Reelin in samples from 人. It has been validated for WB, IHC, IP 和 ICC.
产品编号 ABIN1863098
发货至: 中国
Contact our Customer Service for availability and price in your country. Contact Info

Our Local Distributor

中国
北京 101111
No. 88 KeChuang 6th Street
Beijing Economic Technological Development Area
Room 801-803
4A Biotech Co.,Ltd.
Tel +86 (0512) 65829739 传真 +86 (010) 6788 5057

Quick Overview for Reelin 抗体 (AA 3142-3460) (ABIN1863098)

抗原

See all Reelin (RELN) 抗体
Reelin (RELN)

适用

  • 37
  • 27
  • 11

宿主

  • 38
  • 11
  • 2
  • 1

克隆类型

  • 31
  • 21
多克隆

标记

  • 29
  • 6
  • 3
  • 2
  • 2
  • 2
  • 2
  • 2
  • 2
  • 2
This Reelin antibody is un-conjugated

应用范围

  • 32
  • 27
  • 16
  • 13
  • 13
  • 7
  • 3
  • 2
  • 1
  • 1
  • 1
  • 1
Western Blotting (WB), Immunohistochemistry (IHC), Immunoprecipitation (IP), Immunocytochemistry (ICC)
  • 抗原表位

    • 5
    • 4
    • 3
    • 2
    • 1
    • 1
    • 1
    • 1
    • 1
    • 1
    • 1
    • 1
    • 1
    • 1
    • 1
    AA 3142-3460

    原理

    Polyclonal Antibody to Reelin (RELN)

    特异性

    The antibody is a rabbit polyclonal antibody raised against RELN. It has been selected for its ability to recognize RELN in immunohistochemical staining and western blotting.

    交叉反应

    小鼠, 大鼠

    纯化方法

    Antigen-specific affinity chromatography followed by Protein A affinity chromatography

    免疫原

    RPC775Hu01Recombinant Reelin (RELN)

    亚型

    IgG
  • 应用备注

    Western blotting: 0.01-2 μg/mL,Immunohistochemistry: 5-20 μg/mL,Immunocytochemistry: 5-20 μg/mL,Optimal working dilutions must be determined by end user.

    说明

    The thermal stability is described by the loss rate. The loss rate was determined by accelerated thermal degradation test, that is, incubate the protein at 37°C for 48h, and no obvious degradation and precipitation were observed. The loss rate is less than 5% within the expiration date under appropriate storage condition.

    限制

    仅限研究用
  • 状态

    Liquid

    浓度

    0.5 mg/mL

    缓冲液

    PBS, pH 7.4, containing 0.02 % Sodium azide, 50 % glycerol.

    储存液

    Sodium azide

    注意事项

    WARNING: Reagents contain sodium azide. Sodium azide is very toxic if ingested or inhaled. Avoid contact with skin, eyes, or clothing. Wear eye or face protection when handling. If skin or eye contact occurs, wash with copious amounts of water. If ingested or inhaled, contact a physician immediately. Sodium azide yields toxic hydrazoic acid under acidic conditions. Dilute azide-containing compounds in running water before discarding to avoid accumulation of potentially explosive deposits in lead or copper plumbing.

    注意事项

    Avoid repeated freeze-thaw cycles.

    储存条件

    4 °C,-20 °C

    储存方法

    Store at 4°C for frequent use. Stored at -20°C in a manual defrost freezer for two year without detectable loss of activity. Avoid repeated freeze-thaw cycles.

    有效期

    12 months
  • 抗原

    Reelin (RELN)

    别名

    RELN

    背景

    RL

    途径

    Synaptic Membrane
You are here: