ALOX5AP 抗体 (Internal Region)
Our Local Distributor
北京 101111
Quick Overview for ALOX5AP 抗体 (Internal Region) (ABIN185717)
抗原
See all ALOX5AP 抗体适用
宿主
克隆类型
标记
应用范围
质量等级
-
-
抗原表位
- Internal Region
-
原理
- FLAP / ALOX5AP (internal)
-
序列
- HKVEHESRTQ NGR
-
特异性
- This antibody is expected to recognize both reported isoforms (NP_001620.2, NP_001191335.1).
-
交叉反应
- 犬, 人
-
纯化方法
- Purified from goat serum by ammonium sulphate precipitation followed by antigen affinity chromatography using the immunizing peptide.
-
免疫原
- Peptide with sequence C-HKVEHESRTQNGR, from the internal region of the protein sequence according to NP_001620.2.
-
亚型
- IgG
-
-
-
-
应用备注
-
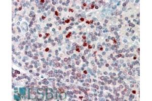
Immunohistochemistry: In paraffin embedded Human Spleen shows staining of select splenocytes. Paraffin embedded Human Lung and Small Intestine. Recommended concentration: 3.75 μg/mL.
Western Blot: Approx 16 kDa band observed in lysates of U937 and of Peripheral Blood Mononucleocytes (calculated MW of 18.2 kDa according to NP_001620.2). Recommended concentration: 0.1-0.3 μg/mL. Primary incubation was 1 hour.
Peptide ELISA: antibody detection limit dilution 1:128000.
-
限制
- 仅限研究用
-
-
-
状态
- Liquid
-
浓度
- 0.5 mg/mL
-
缓冲液
- Supplied at 0.5 mg/mL in Tris saline, 0.02 % sodium azide, pH 7.3 with 0.5 % bovine serum albumin.
-
储存液
- Sodium azide
-
注意事项
- This product contains Sodium azide: a POISONOUS AND HAZARDOUS SUBSTANCE which should be handled by trained staff only.
-
注意事项
- Minimize freezing and thawing.
-
储存条件
- -20 °C
-
储存方法
- Aliquot and store at -20°C, with minimal freeze/thawing. A working aliquot may be refrigerated at 4°C for a few weeks and still remain viable.
-
-
- ALOX5AP (Arachidonate 5-Lipoxygenase-Activating Protein (ALOX5AP))
-
别名
- ALOX5AP
-
背景
- ALOX5AP, FLAP, arachidonate 5-lipoxygenase-activating protein, MK-886-binding protein, five-lipoxygenase activating protein
-
基因ID
- 241
-
NCBI登录号
- NP_001620, NP_001191335
抗原
-