TPTE 抗体 (Internal Region)
Our Local Distributor
北京 101111
Quick Overview for TPTE 抗体 (Internal Region) (ABIN185693)
抗原
See all TPTE 抗体适用
宿主
克隆类型
标记
应用范围
质量等级
-
-
抗原表位
- Internal Region
-
原理
- TPTE / PTEN2
-
序列
- ERRTDKTHSE KFQ
-
特异性
- This antibody is expected to recognise all reported isoforms (NP_954870.2, NP_954868.1 and NP_954869.1). It may cross-react with the almost identical TPTE2 (GeneID 93492, NP_570141.2, NP_954864.1, NP_954863.1).
-
交叉反应
- 人
-
纯化方法
- Purified from goat serum by ammonium sulphate precipitation followed by antigen affinity chromatography using the immunizing peptide.
-
免疫原
- C-ERRTDKTHSEKFQ
-
亚型
- IgG
-
-
-
-
应用备注
-
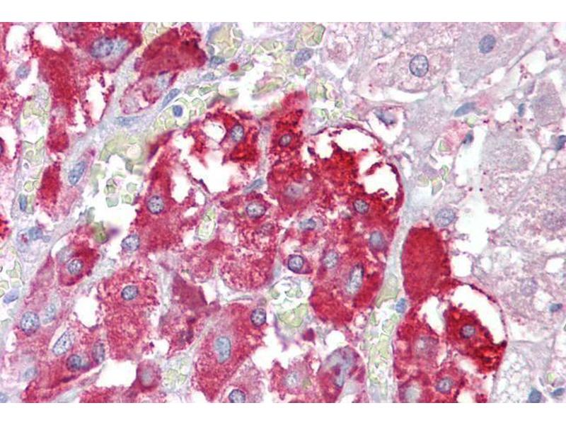
Immunohistochemistry: Paraffin embedded Human Adrenal Gland. Recommended concentration: 2.5 μg/mL.
Western Blot: Approx 50-55 kDa band observed in Human Testis lysates (calculated MW of 60.2 kDa according to NP_954869.1). Recommended concentration: 1-3 μg/mL.
Peptide ELISA: antibody detection limit dilution 1:16000.
-
限制
- 仅限研究用
-
-
-
状态
- Liquid
-
浓度
- 0.5 mg/mL
-
缓冲液
- Supplied at 0.5 mg/mL in Tris saline, 0.02 % sodium azide, pH 7.3 with 0.5 % bovine serum albumin.
-
储存液
- Sodium azide
-
注意事项
- This product contains Sodium azide: a POISONOUS AND HAZARDOUS SUBSTANCE which should be handled by trained staff only.
-
注意事项
- Minimize freezing and thawing.
-
储存条件
- -20 °C
-
储存方法
- Aliquot and store at -20°C, with minimal freeze/thawing. A working aliquot may be refrigerated at 4°C for a few weeks and still remain viable.
-
-
- TPTE (Transmembrane Phosphatase with Tensin Homology (TPTE))
-
别名
- TPTE
-
背景
- TPTE, PTEN2 , transmembrane phosphatase with tensin homology , tensin, putative protein-tyrosine phosphatase
-
基因ID
- 7179
-
NCBI登录号
- NP_954870, NP_954868, NP_954869
-
途径
- Inositol Metabolic Process
抗原
-