电话:
+86 (0512) 65829739
传真:
+86 (010) 6788 5057
电子邮件:
orders@antibodies-online.cn

Serotonin Receptor 3A 抗体 (Internal Region)

Cited in 1 publication. The 山羊 多克隆 anti-Serotonin Receptor 3A antibody (ABIN185673) specifically detects Serotonin Receptor 3A in ELISA, IHC, ICC 和 FACS. The antibody is reactive with 人 和 大鼠 samples.
产品编号 ABIN185673
发货至: 中国
Contact our Customer Service for availability and price in your country. Contact Info

Our Local Distributor

中国
北京 101111
No. 88 KeChuang 6th Street
Beijing Economic Technological Development Area
Room 801-803
4A Biotech Co.,Ltd.
Tel +86 (0512) 65829739 传真 +86 (010) 6788 5057

Quick Overview for Serotonin Receptor 3A 抗体 (Internal Region) (ABIN185673)

抗原

See all Serotonin Receptor 3A (HTR3A) 抗体
Serotonin Receptor 3A (HTR3A)

适用

  • 60
  • 17
  • 12
  • 4
  • 2
  • 2
  • 1
  • 1
  • 1
  • 1
  • 1
  • 1
  • 1
人, 大鼠

宿主

  • 61
  • 2
  • 1
  • 1
山羊

克隆类型

  • 62
  • 3
多克隆

标记

  • 28
  • 4
  • 4
  • 3
  • 2
  • 2
  • 2
  • 2
  • 2
  • 2
  • 2
  • 1
  • 1
  • 1
  • 1
  • 1
  • 1
  • 1
  • 1
  • 1
  • 1
  • 1
  • 1
This Serotonin Receptor 3A antibody is un-conjugated

应用范围

  • 30
  • 22
  • 14
  • 14
  • 10
  • 5
  • 4
  • 4
  • 2
  • 1
  • 1
  • 1
  • 1
ELISA, Immunohistochemistry (IHC), Immunocytochemistry (ICC), Flow Cytometry (FACS)

质量等级

Verified
  • 抗原表位

    • 15
    • 8
    • 6
    • 5
    • 2
    • 1
    • 1
    • 1
    • 1
    • 1
    • 1
    • 1
    • 1
    • 1
    • 1
    • 1
    • 1
    • 1
    • 1
    Internal Region

    原理

    Serotonin receptor 3A / HTR3A

    序列

    GPQDFEKSPR DR

    特异性

    This antibody is expected to recognise all three reported isoforms

    交叉反应

    纯化方法

    Purified from goat serum by ammonium sulphate precipitation followed by antigen affinity chromatography using the immunizing peptide.

    免疫原

    Peptide with sequence C-GPQDFEKSPRDR, from the internal region of the protein sequence according to NP_998786.2, NP_000860.2, NP_001155244.1.

    亚型

    IgG
  • 应用备注

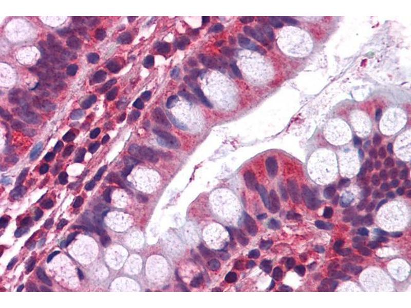
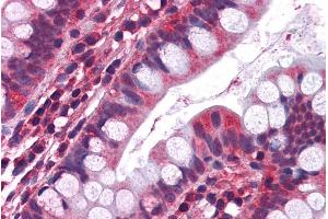
    Immunohistochemistry: Paraffin embedded Human Small Intestine. Recommended concentration: 3.75 μg/mL.

    Peptide ELISA: antibody detection limit dilution 1:128000.

    说明

    Immunocytochemistry:This product has been successfully used in ICC on Rat: Lu CL et al, Gastroenterology. 2009 Sep,137(3):1040-50. PMID: 19344720.

    Flow Cytometry: Flow cytometric analysis of HeLa cells. Recommended co

    限制

    仅限研究用
  • 状态

    Liquid

    浓度

    0.5 mg/mL

    缓冲液

    Supplied at 0.5 mg/mL in Tris saline, 0.02 % sodium azide, pH 7.3 with 0.5 % bovine serum albumin.

    储存液

    Sodium azide

    注意事项

    This product contains Sodium azide: a POISONOUS AND HAZARDOUS SUBSTANCE which should be handled by trained staff only.

    注意事项

    Minimize freezing and thawing.

    储存条件

    -20 °C

    储存方法

    Aliquot and store at -20°C, with minimal freeze/thawing. A working aliquot may be refrigerated at 4°C for a few weeks and still remain viable.
  • Lu, Hsieh, Dun, Oprea, Wang, Luo, Lin, Chang, Lee: "Estrogen rapidly modulates 5-hydroxytrytophan-induced visceral hypersensitivity via GPR30 in rats." in: Gastroenterology, Vol. 137, Issue 3, pp. 1040-50, (2009) (PubMed).

  • 抗原

    Serotonin Receptor 3A (HTR3A)

    别名

    HTR3A

    背景

    HTR3A, serotonin receptor, 5-hydroxytryptamine (serotonin) receptor 3A, 5-HT-3, 5-HT3A, 5-HT3R, 5HT3R, HTR3, 5-hydroxytryptamine (serotonin) receptor-3, 5HT3 serotonin receptor, Serotonin-gated ion channel receptor, truncated receptor, containing only 3 t

    基因ID

    3359

    NCBI登录号

    NP_998786, NP_000860, NP_001155244

    途径

    Synaptic Membrane
You are here: