HSD3B1 抗体 (C-Term)
Our Local Distributor
北京 101111
Quick Overview for HSD3B1 抗体 (C-Term) (ABIN185616)
抗原
See all HSD3B1 抗体适用
宿主
克隆类型
标记
应用范围
质量等级
-
-
抗原表位
- C-Term
-
原理
- HSD3B1
-
序列
- DRHKETLKSK TQ
-
交叉反应
- 人
-
纯化方法
- Purified from goat serum by ammonium sulphate precipitation followed by antigen affinity chromatography using the immunizing peptide.
-
免疫原
- Peptide with sequence C-DRHKETLKSKTQ, from the C Terminus of the protein sequence according to NP_000853.1.
-
亚型
- IgG
-
-
-
-
应用备注
-
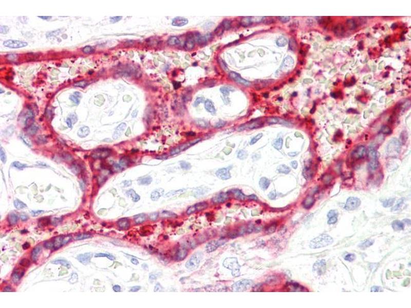
Immunohistochemistry: Paraffin embedded Human Placenta. Recommended concentration: 3.75 μg/mL.
Western Blot: Approx 40 kDa band observed in Human Placenta and Adrenal Gland lysates (calculated MW of 42.3 kDa according to NP_000853.1). Recommended concentration: 0.003-0.01 μg/mL.
Peptide ELISA: antibody detection limit dilution 1:128000.
-
限制
- 仅限研究用
-
-
-
状态
- Liquid
-
浓度
- 0.5 mg/mL
-
缓冲液
- Supplied at 0.5 mg/mL in Tris saline, 0.02 % sodium azide, pH 7.3 with 0.5 % bovine serum albumin.
-
储存液
- Sodium azide
-
注意事项
- This product contains Sodium azide: a POISONOUS AND HAZARDOUS SUBSTANCE which should be handled by trained staff only.
-
注意事项
- Minimize freezing and thawing.
-
储存条件
- -20 °C
-
储存方法
- Aliquot and store at -20°C, with minimal freeze/thawing. A working aliquot may be refrigerated at 4°C for a few weeks and still remain viable.
-
-
- HSD3B1 (Hydroxy-delta-5-Steroid Dehydrogenase, 3 beta- and Steroid delta-Isomerase 1 (HSD3B1))
-
别名
- HSD3B1
-
背景
- HSD3B1, hydroxy-delta-5-steroid dehydrogenase, 3 beta- and steroid delta-isomerase 1, HGNC:5217, HSD3B, HSDB3, Hydroxy-delta-5-steroid dehydrogenase, 3 beta- and steroid hydroxy-delta-5-steroid dehydrogenase, 3 beta-and steroid delta-isomerase 1
-
基因ID
- 3283
-
NCBI登录号
- NP_000853
-
途径
- Metabolism of Steroid Hormones and Vitamin D, Steroid Hormone Biosynthesis, C21-Steroid Hormone Metabolic Process, Carbohydrate Homeostasis
抗原
-