电话:
+86 (0512) 65829739
传真:
+86 (010) 6788 5057
电子邮件:
orders@antibodies-online.cn

VPS41 抗体 (Internal Region)

The 山羊 多克隆 anti-VPS41 antibody (ABIN185430) specifically detects VPS41 in ELISA 和 IHC. The antibody is reactive with 人 samples.
产品编号 ABIN185430
发货至: 中国
Contact our Customer Service for availability and price in your country. Contact Info

Our Local Distributor

中国
北京 101111
No. 88 KeChuang 6th Street
Beijing Economic Technological Development Area
Room 801-803
4A Biotech Co.,Ltd.
Tel +86 (0512) 65829739 传真 +86 (010) 6788 5057

Quick Overview for VPS41 抗体 (Internal Region) (ABIN185430)

抗原

See all VPS41 抗体
VPS41 (Vacuolar Protein Sorting 41 Homolog (VPS41))

适用

  • 21
  • 6
  • 5
  • 4
  • 4
  • 4
  • 4
  • 3
  • 1
  • 1
  • 1
  • 1

宿主

  • 20
  • 1
山羊

克隆类型

  • 20
  • 1
多克隆

标记

  • 14
  • 1
  • 1
  • 1
  • 1
  • 1
  • 1
  • 1
This VPS41 antibody is un-conjugated

应用范围

  • 11
  • 7
  • 3
  • 2
  • 1
ELISA, Immunohistochemistry (IHC)

质量等级

Verified
  • 抗原表位

    • 1
    • 1
    • 1
    • 1
    • 1
    • 1
    • 1
    • 1
    Internal Region

    原理

    VPS41

    序列

    DHLKKDSQNK TLLK

    特异性

    This antibody is expected to recognise both reported isoforms (NP_055211.2 and NP_542198.2)

    交叉反应

    Cow, 犬, 人, 小鼠, 大鼠

    纯化方法

    Purified from goat serum by ammonium sulphate precipitation followed by antigen affinity chromatography using the immunizing peptide.

    免疫原

    Peptide with sequence C-DHLKKDSQNKTLLK, from the internal region of the protein sequence according to NP_055211.2, NP_542198.2.

    亚型

    IgG
  • 应用备注

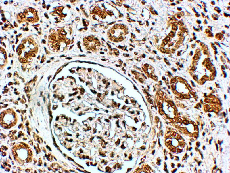
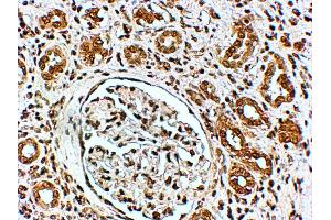
    Immunohistochemistry: In paraffin embedded Human Kidney shows staining of collective tubules. Recommended concentration: 4-6 μg/mL. Paraffin embedded Human Placenta and Prostate. Recommended concentration: 3.75 μg/mL.

    Western Blot: Preliminary experiments gave bands at approx 48 kDa and 28 kDa in human duodenum, kidney and placenta lysates after 1 μg/mL antibody staining. Please note that currently we cannot find an explanation in the literature for the bands we observe

    Peptide ELISA: antibody detection limit dilution 1:16000.

    限制

    仅限研究用
  • 状态

    Liquid

    浓度

    0.5 mg/mL

    缓冲液

    Supplied at 0.5 mg/mL in Tris saline, 0.02 % sodium azide, pH 7.3 with 0.5 % bovine serum albumin.

    储存液

    Sodium azide

    注意事项

    This product contains Sodium azide: a POISONOUS AND HAZARDOUS SUBSTANCE which should be handled by trained staff only.

    注意事项

    Minimize freezing and thawing.

    储存条件

    -20 °C

    储存方法

    Aliquot and store at -20°C, with minimal freeze/thawing. A working aliquot may be refrigerated at 4°C for a few weeks and still remain viable.
  • 抗原

    VPS41 (Vacuolar Protein Sorting 41 Homolog (VPS41))

    别名

    VPS41

    背景

    VPS41, vacuolar protein sorting 41 (yeast) , HGNC:12713, HVSP41, vacuolar assembly protein 41, vacuolar protein sorting 41 (yeast homolog), vacuolar protein sorting 41 homolog (S. cerevisiae), HVPS41, hVps41p, vacuolar protein sorting 41

    分子量

    48kDa

    基因ID

    27072

    NCBI登录号

    NP_055211, NP_542198
You are here: