电话:
+86 (0512) 65829739
传真:
+86 (010) 6788 5057
电子邮件:
orders@antibodies-online.cn

PPY 抗体 (Internal Region)

There is 1 publication for this product available. The 山羊 多克隆 anti-PPY antibody is suitable to detect PPY in samples from 人 和 大鼠. It has been validated for WB, IHC, ELISA, FACS 和 IF.
产品编号 ABIN185420
发货至: 中国
Contact our Customer Service for availability and price in your country. Contact Info

Our Local Distributor

中国
北京 101111
No. 88 KeChuang 6th Street
Beijing Economic Technological Development Area
Room 801-803
4A Biotech Co.,Ltd.
Tel +86 (0512) 65829739 传真 +86 (010) 6788 5057

Quick Overview for PPY 抗体 (Internal Region) (ABIN185420)

抗原

See all PPY 抗体
PPY (Pancreatic Polypeptide (PPY))

适用

  • 24
  • 10
  • 5
  • 1
人, 大鼠

宿主

  • 17
  • 5
  • 3
  • 1
  • 1
山羊

克隆类型

  • 20
  • 7
多克隆

标记

  • 19
  • 2
  • 1
  • 1
  • 1
  • 1
  • 1
  • 1
This PPY antibody is un-conjugated

应用范围

  • 12
  • 7
  • 7
  • 5
  • 4
  • 3
  • 2
  • 2
  • 2
  • 1
  • 1
Western Blotting (WB), Immunohistochemistry (IHC), ELISA, Flow Cytometry (FACS), Immunofluorescence (IF)

质量等级

Verified
  • 抗原表位

    • 3
    • 2
    • 1
    • 1
    • 1
    • 1
    Internal Region

    原理

    Pancreatic Polypeptide / PPY

    序列

    TRPRYGKRHK EDT

    交叉反应

    犬, 人, 小鼠, 大鼠

    纯化方法

    Purified from goat serum by ammonium sulphate precipitation followed by antigen affinity chromatography using the immunizing peptide.

    免疫原

    Peptide with sequence C-TRPRYGKRHKEDT, from the internal region of the protein sequence according to NP_002713.1.

    亚型

    IgG
  • 应用备注

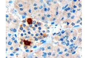
    Immunohistochemistry: In paraffin embedded Human Pancreas, shows strong cytoplasmic staining of rare cells located at the periphery of islets of Langerhans. Recommended concentration: 3 μg/mL. Paraffin embedded Human Pancreas and Intestine. Recommended co

    Western Blot: This antibody has been successfully used in WB on Human, PMID: 25445712.

    Peptide ELISA: antibody detection limit dilution 1:32000.

    说明

    Immunofluorescence: This antibody has been successfully used in IF on Human, PMID: 27300574 and 30687234, and on Rat, PMID: 27472443.

    Flow Cytometry: Flow cytometric analysis of U2OS cells. Recommended concentration: 1

    限制

    仅限研究用
  • 状态

    Liquid

    浓度

    0.5 mg/mL

    缓冲液

    Supplied at 0.5 mg/mL in Tris saline, 0.02 % sodium azide, pH 7.3 with 0.5 % bovine serum albumin.

    储存液

    Sodium azide

    注意事项

    This product contains Sodium azide: a POISONOUS AND HAZARDOUS SUBSTANCE which should be handled by trained staff only.

    注意事项

    Minimize freezing and thawing.

    储存条件

    -20 °C

    储存方法

    Aliquot and store at -20°C, with minimal freeze/thawing. A working aliquot may be refrigerated at 4°C for a few weeks and still remain viable.
  • Md Moin, Cory, Ong, Choi, Dhawan, Butler, Butler: "Pancreatic Nonhormone Expressing Endocrine Cells in Children With Type 1 Diabetes." in: Journal of the Endocrine Society, Vol. 1, Issue 5, pp. 385-395, (2017) (PubMed).

  • 抗原

    PPY (Pancreatic Polypeptide (PPY))

    别名

    PPY

    背景

    PPY, pancreatic polypeptide, HGNC:9327, PNP, pancreatic polypeptide Y

    基因ID

    5539

    NCBI登录号

    NP_002713

    途径

    Feeding Behaviour
You are here: