MIF 抗体 (C-Term)
Our Local Distributor
北京 101111
Quick Overview for MIF 抗体 (C-Term) (ABIN185406)
抗原
See all MIF 抗体适用
宿主
克隆类型
标记
应用范围
质量等级
-
-
抗原表位
- C-Term
-
原理
- MIF
-
序列
- NAANVGWNNS TFA
-
交叉反应
- 人, 小鼠, 大鼠
-
纯化方法
- Purified from goat serum by ammonium sulphate precipitation followed by antigen affinity chromatography using the immunizing peptide.
-
免疫原
- Peptide with sequence C-NAANVGWNNSTFA, from the C Terminus of the protein sequence according to NP_002406.1.
-
亚型
- IgG
-
-
-
-
应用备注
-
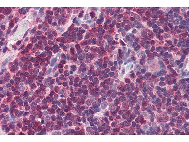
Immunohistochemistry: Paraffin embedded Human Thymus. Recommended concentration: 5 μg/mL.
Western Blot: Approx 13 kDa band observed in Human Lymph Node, and Thymus lysates and similar bands are observed in lysates of cell lines Daudi and Jurkat (calculated MW of 12.5 kDa according to NP_002406.1). Recommended concentration: 0.01-0.03 μg/mL. Pri
Peptide ELISA: antibody detection limit dilution 1:128000.
-
限制
- 仅限研究用
-
-
-
状态
- Liquid
-
浓度
- 0.5 mg/mL
-
缓冲液
- Supplied at 0.5 mg/mL in Tris saline, 0.02 % sodium azide, pH 7.3 with 0.5 % bovine serum albumin.
-
储存液
- Sodium azide
-
注意事项
- This product contains Sodium azide: a POISONOUS AND HAZARDOUS SUBSTANCE which should be handled by trained staff only.
-
注意事项
- Minimize freezing and thawing.
-
储存条件
- -20 °C
-
储存方法
- Aliquot and store at -20°C, with minimal freeze/thawing. A working aliquot may be refrigerated at 4°C for a few weeks and still remain viable.
-
-
- MIF (Macrophage Migration Inhibitory Factor (Glycosylation-Inhibiting Factor) (MIF))
-
别名
- MIF
-
背景
- MIF, macrophage migration inhibitory factor (glycosylation-inhibiting factor) , HGNC:7097, GIF, GLIF, MMIF, glycosylation-inhibiting factor, phenylpyruvate tautomerase, macrophage migration inhibitory factor
-
基因ID
- 4282
-
NCBI登录号
- NP_002406
-
途径
- Regulation of Systemic Arterial Blood Pressure by Hormones, Positive Regulation of Immune Effector Process, Production of Molecular Mediator of Immune Response, Regulation of Carbohydrate Metabolic Process, Feeding Behaviour, Smooth Muscle Cell Migration, Negative Regulation of intrinsic apoptotic Signaling
抗原
-