电话:
+86 (0512) 65829739
传真:
+86 (010) 6788 5057
电子邮件:
orders@antibodies-online.cn

DPP10 抗体 (Internal Region)

This 山羊 多克隆 antibody specifically detects DPP10 in WB, ELISA 和 IHC. It exhibits reactivity toward 人.
产品编号 ABIN185398
发货至: 中国
Contact our Customer Service for availability and price in your country. Contact Info

Our Local Distributor

中国
北京 101111
No. 88 KeChuang 6th Street
Beijing Economic Technological Development Area
Room 801-803
4A Biotech Co.,Ltd.
Tel +86 (0512) 65829739 传真 +86 (010) 6788 5057

Quick Overview for DPP10 抗体 (Internal Region) (ABIN185398)

抗原

See all DPP10 抗体
DPP10 (Dipeptidylpeptidase 10 (DPP10))

适用

  • 38
  • 12
  • 4
  • 4
  • 3
  • 3
  • 3
  • 2
  • 2
  • 2
  • 1

宿主

  • 35
  • 3
  • 1
山羊

克隆类型

  • 38
  • 1
多克隆

标记

  • 19
  • 3
  • 2
  • 2
  • 1
  • 1
  • 1
  • 1
  • 1
  • 1
  • 1
  • 1
  • 1
  • 1
  • 1
  • 1
  • 1
This DPP10 antibody is un-conjugated

应用范围

  • 35
  • 14
  • 13
  • 13
  • 9
  • 5
  • 3
  • 1
  • 1
  • 1
Western Blotting (WB), ELISA, Immunohistochemistry (IHC)

质量等级

Verified
  • 抗原表位

    • 15
    • 8
    • 4
    • 2
    • 1
    • 1
    • 1
    • 1
    • 1
    • 1
    • 1
    • 1
    Internal Region

    原理

    Dipeptidylpeptidase 10

    序列

    DEGHNVSEKS KYHL

    特异性

    This antibody is expected to recognise both reported isoforms NP_065919.2 and NP_001004360.2.

    交叉反应

    Cow, 犬, 人

    纯化方法

    Purified from goat serum by ammonium sulphate precipitation followed by antigen affinity chromatography using the immunizing peptide.

    免疫原

    Peptide with sequence C-DEGHNVSEKSKYHL, from the internal region of the protein sequence according to NP_065919.2, NP_001004360.2.

    亚型

    IgG
  • 应用备注

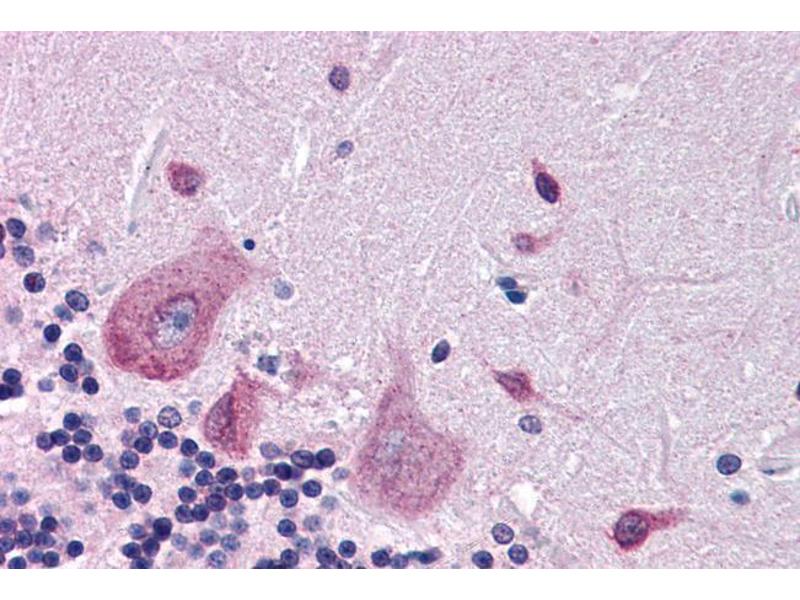
    Immunohistochemistry: Paraffin embedded Human Brain (Cortex and Cerebellum). Recommended concentration: 3.75 μg/mL.

    Western Blot: Approx 90 kDa band observed in Human Bone Marrow lysates (calculated MW of 90.0 kDa according to NP_065919.2 and of 90.1 according to NP_001004360.1). Recommended concentration: 0.1-0.3 μg/mL.

    Peptide ELISA: antibody detection limit dilution 1:32000.

    限制

    仅限研究用
  • 状态

    Liquid

    浓度

    0.5 mg/mL

    缓冲液

    Supplied at 0.5 mg/mL in Tris saline, 0.02 % sodium azide, pH 7.3 with 0.5 % bovine serum albumin.

    储存液

    Sodium azide

    注意事项

    This product contains Sodium azide: a POISONOUS AND HAZARDOUS SUBSTANCE which should be handled by trained staff only.

    注意事项

    Minimize freezing and thawing.

    储存条件

    -20 °C

    储存方法

    Aliquot and store at -20°C, with minimal freeze/thawing. A working aliquot may be refrigerated at 4°C for a few weeks and still remain viable.
  • 抗原

    DPP10 (Dipeptidylpeptidase 10 (DPP10))

    别名

    DPP10

    背景

    DPP10, dipeptidylpeptidase 10, HGNC:20823, DPRP3 , dipeptidyl peptidase IV-related protein 3, dipeptidyl peptidase X, dipeptidyl peptidase-like protein 2, dipeptidyl-peptidase 10, DPL2, DPPY, OTTHUMP00000203618, dipeptidyl peptidase 10, dipeptidyl peptida

    基因ID

    57628

    NCBI登录号

    NP_065919, NP_001004360
You are here: