电话:
+86 (0512) 65829739
传真:
+86 (010) 6788 5057
电子邮件:
orders@antibodies-online.cn

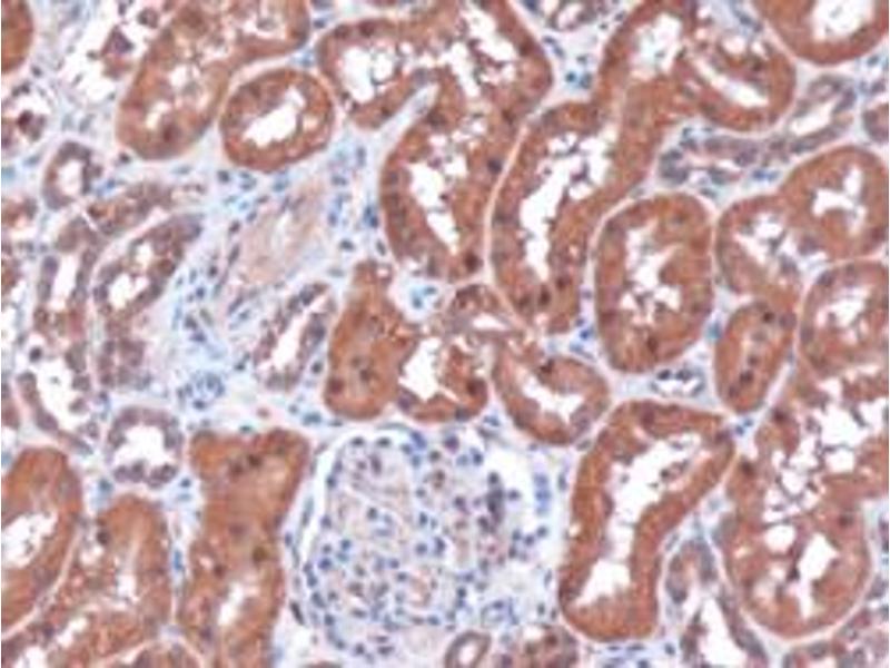
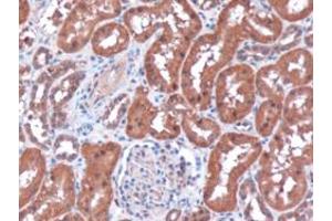
RNLS 抗体 (Internal Region)

The 山羊 多克隆 anti-RNLS antibody is suitable to detect RNLS in samples from 人, 小鼠 和 大鼠. It has been validated for WB 和 ELISA.
产品编号 ABIN185396
发货至: 中国
Contact our Customer Service for availability and price in your country. Contact Info

Our Local Distributor

中国
北京 101111
No. 88 KeChuang 6th Street
Beijing Economic Technological Development Area
Room 801-803
4A Biotech Co.,Ltd.
Tel +86 (0512) 65829739 传真 +86 (010) 6788 5057

Quick Overview for RNLS 抗体 (Internal Region) (ABIN185396)

抗原

See all RNLS 抗体
RNLS (Renalase, FAD-Dependent Amine Oxidase (RNLS))

适用

  • 70
  • 37
  • 18
  • 2
  • 2
  • 2
  • 1
  • 1
  • 1
人, 小鼠, 大鼠

宿主

  • 59
  • 21
山羊

克隆类型

  • 49
  • 31
多克隆

标记

  • 32
  • 10
  • 2
  • 2
  • 2
  • 2
  • 2
  • 2
  • 2
  • 1
  • 1
  • 1
  • 1
  • 1
  • 1
  • 1
  • 1
  • 1
  • 1
  • 1
  • 1
  • 1
  • 1
  • 1
  • 1
  • 1
  • 1
  • 1
  • 1
  • 1
  • 1
  • 1
  • 1
This RNLS antibody is un-conjugated

应用范围

  • 52
  • 32
  • 14
  • 13
  • 13
  • 11
  • 10
  • 4
  • 4
  • 4
  • 3
  • 3
  • 2
  • 2
  • 2
  • 1
Western Blotting (WB), ELISA

质量等级

Verified
  • 抗原表位

    • 15
    • 12
    • 9
    • 3
    • 2
    • 2
    • 1
    • 1
    • 1
    • 1
    • 1
    Internal Region

    原理

    Renalase (aa 224 to 233)

    序列

    VSIDNKKRNI

    特异性

    This antibody is expected to recognise both reported isoforms (NP_001026879.2 and NP_060833.1).

    交叉反应

    Cow, 犬, 人, 小鼠, 大鼠

    纯化方法

    Purified from goat serum by ammonium sulphate precipitation followed by antigen affinity chromatography using the immunizing peptide.

    免疫原

    Peptide with sequence C-VSIDNKKRNI, from the internal region of the protein sequence according to NP_001026879.2, NP_060833.1.

    亚型

    IgG
  • 应用备注

    Western Blot: Approx 38+35 kDa bands observed in Human Heart lysates, 37 kDa band observed in Mouse Heart lysates and approx 35 kDa in Rat Heart lysates (calculated MW of 37.8 and 34.9 according to Human NP_001026879.2 and NP_060833.1 resp, of 33.3 kDa accor

    Peptide ELISA: antibody detection limit dilution 1:128000.

    限制

    仅限研究用
  • 状态

    Liquid

    浓度

    0.5 mg/mL

    缓冲液

    Supplied at 0.5 mg/mL in Tris saline, 0.02 % sodium azide, pH 7.3 with 0.5 % bovine serum albumin.

    储存液

    Sodium azide

    注意事项

    This product contains Sodium azide: a POISONOUS AND HAZARDOUS SUBSTANCE which should be handled by trained staff only.

    注意事项

    Minimize freezing and thawing.

    储存条件

    -20 °C

    储存方法

    Aliquot and store at -20°C, with minimal freeze/thawing. A working aliquot may be refrigerated at 4°C for a few weeks and still remain viable.
  • 抗原

    RNLS (Renalase, FAD-Dependent Amine Oxidase (RNLS))

    别名

    RNLS

    背景

    RNLS, renalase, C10orf59, chromosome 10 open reading frame 59 , HGNC:25641, FLJ11218 , hypothetical protein LOC55328, renalase, FAD-dependent amine oxidase, RENALASE

    基因ID

    55328

    NCBI登录号

    NP_001026879, NP_060833
You are here: