CD2BP2 抗体 (N-Term)
Our Local Distributor
北京 101111
Quick Overview for CD2BP2 抗体 (N-Term) (ABIN185254)
抗原
See all CD2BP2 抗体适用
宿主
克隆类型
标记
应用范围
质量等级
-
-
抗原表位
- N-Term
-
原理
- CD2BP2 (N Terminus)
-
序列
- PKRKVTFQGV GDE
-
交叉反应
- Cow, 犬, 人, 小鼠, 大鼠
-
纯化方法
- Purified from goat serum by ammonium sulphate precipitation followed by antigen affinity chromatography using the immunizing peptide.
-
免疫原
- PKRKVTFQGVGDE-C
-
亚型
- IgG
-
-
-
-
应用备注
-
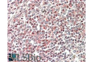
Immunohistochemistry: In paraffin embedded Human Spleen shows nucleolar staining in select splenocytes. Recommended concentration: 5-10 μg/mL.
Western Blot: Approx 50 kDa band observed in Human Lymph Node, Thymus and Tonsil lysates (calculated MW of 37.6 kDa according to NP_006101.1). The observed molecular weight corresponds to earlier findings in literature with different antibodies (Nishizawa
Peptide ELISA: antibody detection limit dilution 1:32000.
-
限制
- 仅限研究用
-
-
-
状态
- Liquid
-
浓度
- 0.5 mg/mL
-
缓冲液
- Supplied at 0.5 mg/mL in Tris saline, 0.02 % sodium azide, pH 7.3 with 0.5 % bovine serum albumin.
-
储存液
- Sodium azide
-
注意事项
- This product contains Sodium azide: a POISONOUS AND HAZARDOUS SUBSTANCE which should be handled by trained staff only.
-
注意事项
- Minimize freezing and thawing.
-
储存条件
- -20 °C
-
储存方法
- Aliquot and store at -20°C, with minimal freeze/thawing. A working aliquot may be refrigerated at 4°C for a few weeks and still remain viable.
-
-
- CD2BP2 (CD2 (Cytoplasmic Tail) Binding Protein 2 (CD2BP2))
-
别名
- CD2BP2
-
背景
- CD2BP2, FWP010, LIN1, Snu40, CD2 antigen (cytoplasmic tail) binding protein 2, CD2 (cytoplasmic tail) binding protein 2, CD2 antigen (cytoplasmic tail)-binding protein 2, U5-52K, CD2 binding protein 2, CD2 cytoplasmic domain binding protein 2, U5 snRNP 52
-
基因ID
- 10421
-
NCBI登录号
- NP_006101
-
途径
- Ribonucleoprotein Complex Subunit Organization
抗原
-