电话:
+86 (0512) 65829739
传真:
+86 (010) 6788 5057
电子邮件:
orders@antibodies-online.cn

MSX1 抗体 (N-Term)

The 山羊 多克隆 anti-MSX1 antibody (ABIN185250) specifically detects MSX1 in WB, ELISA 和 IHC. The antibody is reactive with 人 samples.
产品编号 ABIN185250
发货至: 中国
Contact our Customer Service for availability and price in your country. Contact Info

Our Local Distributor

中国
北京 101111
No. 88 KeChuang 6th Street
Beijing Economic Technological Development Area
Room 801-803
4A Biotech Co.,Ltd.
Tel +86 (0512) 65829739 传真 +86 (010) 6788 5057

Quick Overview for MSX1 抗体 (N-Term) (ABIN185250)

抗原

See all MSX1 抗体
MSX1 (Msh Homeobox 1 (MSX1))

适用

  • 55
  • 35
  • 16
  • 9
  • 5
  • 4
  • 3
  • 3
  • 2
  • 2
  • 1
  • 1

宿主

  • 45
  • 11
  • 1
山羊

克隆类型

  • 47
  • 10
多克隆

标记

  • 24
  • 5
  • 5
  • 3
  • 2
  • 1
  • 1
  • 1
  • 1
  • 1
  • 1
  • 1
  • 1
  • 1
  • 1
  • 1
  • 1
  • 1
  • 1
  • 1
  • 1
  • 1
  • 1
This MSX1 antibody is un-conjugated

应用范围

  • 42
  • 23
  • 14
  • 13
  • 13
  • 10
  • 5
  • 5
  • 4
  • 3
Western Blotting (WB), ELISA, Immunohistochemistry (IHC)

质量等级

Verified
  • 抗原表位

    • 16
    • 7
    • 5
    • 3
    • 2
    • 2
    • 1
    • 1
    • 1
    • 1
    • 1
    • 1
    • 1
    N-Term

    原理

    MSX1

    序列

    TSLPLGVKVE DS

    交叉反应

    Cow, 人, 小鼠, Pig, 大鼠

    纯化方法

    Purified from goat serum by ammonium sulphate precipitation followed by antigen affinity chromatography using the immunizing peptide.

    免疫原

    Peptide with sequence TSLPLGVKVEDS-C, from the N Terminus of the protein sequence according to NP_002439.2.

    亚型

    IgG
  • 应用备注

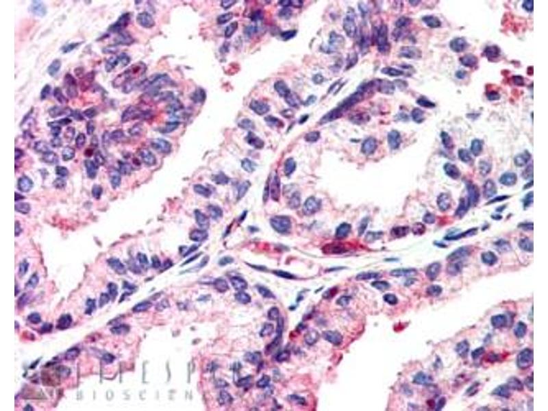
    Immunohistochemistry: In paraffin embedded Human Prostate shows staining of nucleoli in a few epithelial cells. Recommended concentration, 2-4 μg/mL. Data obtained from a previous batch (different goat).

    Western Blot: Preliminary experiments gave an approx. 55-60 kDa band in Human Muscle and Heart lysates at 1 μg/mL. Further, this band was successfully blocked by incubation with the immunising peptide. Please note that currently we cannot find an explanati

    Peptide ELISA: antibody detection limit dilution 1:64000.

    限制

    仅限研究用
  • 状态

    Liquid

    浓度

    0.5 mg/mL

    缓冲液

    Supplied at 0.5 mg/mL in Tris saline, 0.02 % sodium azide, pH 7.3 with 0.5 % bovine serum albumin.

    储存液

    Sodium azide

    注意事项

    This product contains Sodium azide: a POISONOUS AND HAZARDOUS SUBSTANCE which should be handled by trained staff only.

    注意事项

    Minimize freezing and thawing.

    储存条件

    -20 °C

    储存方法

    Aliquot and store at -20°C, with minimal freeze/thawing. A working aliquot may be refrigerated at 4°C for a few weeks and still remain viable.
  • 抗原

    MSX1 (Msh Homeobox 1 (MSX1))

    别名

    MSX1

    背景

    MSX1, HOX7, HYD1, msh homeo box homolog 1 (Drosophila), msh homeobox 1, STHAG1, homeobox 7, msh homeo box 1, msh homeobox homolog 1

    基因ID

    4487, 17701

    NCBI登录号

    NP_002439

    途径

    Regulation of Muscle Cell Differentiation, Positive Regulation of Response to DNA Damage Stimulus
You are here: