电话:
+86 (0512) 65829739
传真:
+86 (010) 6788 5057
电子邮件:
orders@antibodies-online.cn

GRIPAP1 抗体 (N-Term)

The 山羊 多克隆 anti-GRIPAP1 antibody is suitable to detect GRIPAP1 in samples from 人. It has been validated for ELISA 和 IHC.
产品编号 ABIN185234
发货至: 中国
Contact our Customer Service for availability and price in your country. Contact Info

Our Local Distributor

中国
北京 101111
No. 88 KeChuang 6th Street
Beijing Economic Technological Development Area
Room 801-803
4A Biotech Co.,Ltd.
Tel +86 (0512) 65829739 传真 +86 (010) 6788 5057

Quick Overview for GRIPAP1 抗体 (N-Term) (ABIN185234)

抗原

See all GRIPAP1 抗体
GRIPAP1 (GRIP1 Associated Protein 1 (GRIPAP1))

适用

  • 25
  • 14
  • 13
  • 1
  • 1
  • 1

宿主

  • 23
  • 4
山羊

克隆类型

  • 24
  • 3
多克隆

标记

  • 20
  • 1
  • 1
  • 1
  • 1
  • 1
  • 1
  • 1
This GRIPAP1 antibody is un-conjugated

应用范围

  • 18
  • 5
  • 5
  • 3
  • 3
  • 2
  • 1
  • 1
ELISA, Immunohistochemistry (IHC)

质量等级

Verified
  • 抗原表位

    • 2
    • 1
    • 1
    • 1
    • 1
    • 1
    • 1
    • 1
    • 1
    • 1
    N-Term

    原理

    GRASP1 / GRIPAP1

    序列

    LREQTTGLAA ELQ

    特异性

    This antibody is expected to recognize both reported isoforms (as represented by NP_064522.3, NP_997555.1)

    交叉反应

    纯化方法

    Purified from goat serum by ammonium sulphate precipitation followed by antigen affinity chromatography using the immunizing peptide.

    免疫原

    Peptide with sequence LREQTTGLAAELQ-C, from the N Terminus of the protein sequence according to NP_064522.3, NP_997555.1.

    亚型

    IgG
  • 应用备注

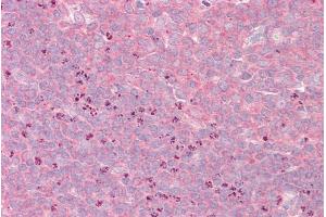
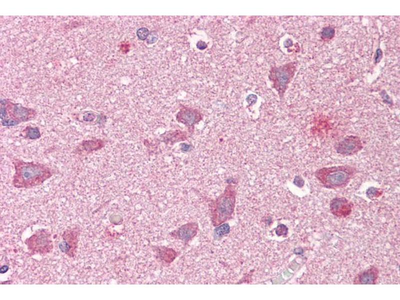
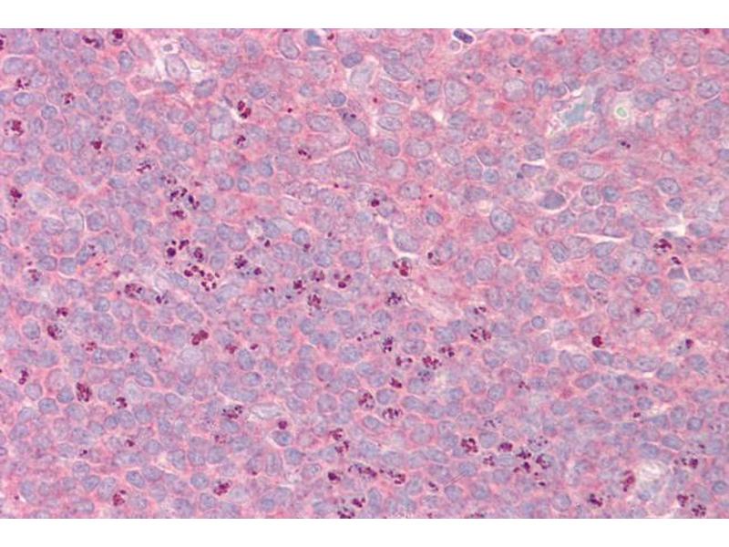
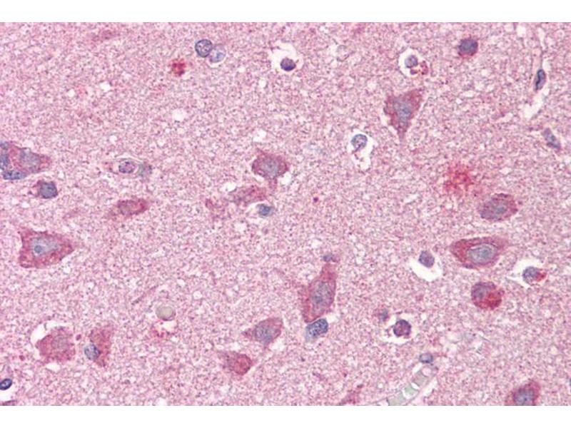
    Immunohistochemistry: Paraffin embedded Human Tonsil and Brain (Cortex). Recommended concentration: 3.75 μg/mL.

    Western Blot: Preliminary experiments gave no signal but low background in Human Brain lysates at up to 1 μg/mL.

    Peptide ELISA: antibody detection limit dilution 1:32000.

    限制

    仅限研究用
  • 状态

    Liquid

    浓度

    0.5 mg/mL

    缓冲液

    Supplied at 0.5 mg/mL in Tris saline, 0.02 % sodium azide, pH 7.3 with 0.5 % bovine serum albumin.

    储存液

    Sodium azide

    注意事项

    This product contains Sodium azide: a POISONOUS AND HAZARDOUS SUBSTANCE which should be handled by trained staff only.

    注意事项

    Minimize freezing and thawing.

    储存条件

    -20 °C

    储存方法

    Aliquot and store at -20°C, with minimal freeze/thawing. A working aliquot may be refrigerated at 4°C for a few weeks and still remain viable.
  • 抗原

    GRIPAP1 (GRIP1 Associated Protein 1 (GRIPAP1))

    别名

    GRIPAP1

    背景

    GRIPAP1, GRASP1, GRASP-1, KIAA1167, DKFZp434P0630, MPMGp800B12492Q3, GRIP1 associated protein 1, GRIP-associated protein 1, MGC126593, MGC126595

    基因ID

    56850

    NCBI登录号

    NP_064522, NP_997555

    途径

    SARS-CoV-2 Protein Interactome
You are here: