电话:
+86 (0512) 65829739
传真:
+86 (010) 6788 5057
电子邮件:
orders@antibodies-online.cn

RANGAP1 抗体 (N-Term)

This 山羊 多克隆 antibody specifically detects RANGAP1 in WB, IHC 和 ELISA. It exhibits reactivity toward 人 和 小鼠.
产品编号 ABIN185170
发货至: 中国
Contact our Customer Service for availability and price in your country. Contact Info

Our Local Distributor

中国
北京 101111
No. 88 KeChuang 6th Street
Beijing Economic Technological Development Area
Room 801-803
4A Biotech Co.,Ltd.
Tel +86 (0512) 65829739 传真 +86 (010) 6788 5057

Quick Overview for RANGAP1 抗体 (N-Term) (ABIN185170)

抗原

See all RANGAP1 抗体
RANGAP1 (Ran GTPase Activating Protein 1 (RANGAP1))

适用

  • 63
  • 36
  • 35
  • 5
  • 4
  • 4
  • 4
  • 4
  • 2
  • 2
  • 2
  • 1
  • 1
  • 1
人, 小鼠

宿主

  • 55
  • 6
  • 2
山羊

克隆类型

  • 38
  • 25
多克隆

标记

  • 35
  • 4
  • 3
  • 3
  • 3
  • 3
  • 3
  • 3
  • 1
  • 1
  • 1
  • 1
  • 1
  • 1
This RANGAP1 antibody is un-conjugated

应用范围

  • 43
  • 30
  • 23
  • 15
  • 15
  • 14
  • 13
  • 5
  • 2
Western Blotting (WB), Immunohistochemistry (IHC), ELISA

质量等级

Verified
  • 抗原表位

    • 8
    • 8
    • 3
    • 2
    • 2
    • 1
    • 1
    • 1
    • 1
    • 1
    N-Term

    原理

    RANGAP1

    序列

    ASEDIAKLAE TLAK

    特异性

    Please note that in mouse, there is a hypothetical protein called "similar to RANGAP1" (XP_139737.2) that is virtually identical.

    交叉反应

    Cow, 犬, 人, 小鼠, 大鼠

    纯化方法

    Purified from goat serum by ammonium sulphate precipitation followed by antigen affinity chromatography using the immunizing peptide.

    免疫原

    Peptide with sequence ASEDIAKLAETLAK-C, from the N Terminus of the protein sequence according to NP_002874.1.

    亚型

    IgG
  • 应用备注

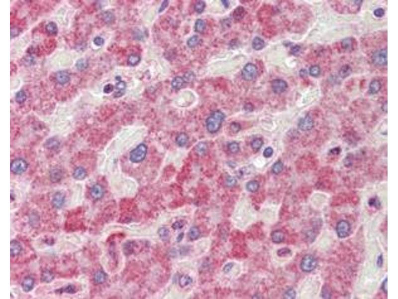
    Immunohistochemistry: In paraffin embedded Human Liver shows vesicular staining in the cytoplasm of hepatocytes. Recommended concentration: 2-4 μg/mL.

    Western Blot: Approx 70 kDa band observed in 3T3 lysates (predicted MW of 68 kDa according to NP_002874). Recommended for use at 0.1-0.5 μg/mL.

    Peptide ELISA: antibody detection limit dilution 1:32000.

    限制

    仅限研究用
  • 状态

    Liquid

    浓度

    0.5 mg/mL

    缓冲液

    Supplied at 0.5 mg/mL in Tris saline, 0.02 % sodium azide, pH 7.3 with 0.5 % bovine serum albumin.

    储存液

    Sodium azide

    注意事项

    This product contains Sodium azide: a POISONOUS AND HAZARDOUS SUBSTANCE which should be handled by trained staff only.

    注意事项

    Minimize freezing and thawing.

    储存条件

    -20 °C

    储存方法

    Aliquot and store at -20°C, with minimal freeze/thawing. A working aliquot may be refrigerated at 4°C for a few weeks and still remain viable.
  • 抗原

    RANGAP1 (Ran GTPase Activating Protein 1 (RANGAP1))

    别名

    RANGAP1

    背景

    RANGAP1, KIAA1835, Ran GTPase activating protein 1, Fug1, MGC20266, SD, OTTHUMP00000198756, OTTHUMP00000198757, segregation distorter homolog, segregation distortion

    基因ID

    5905, 19387

    NCBI登录号

    NP_002874

    途径

    M Phase, Protein targeting to Nucleus
You are here: