电话:
+86 (0512) 65829739
传真:
+86 (010) 6788 5057
电子邮件:
orders@antibodies-online.cn

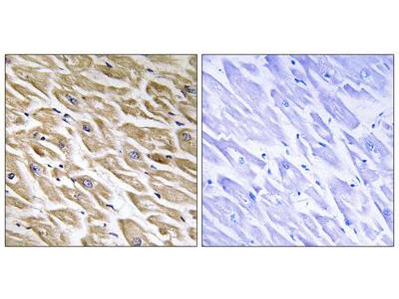
MRPL39 抗体 (C-Term)

The 兔 多克隆 anti-MRPL39 antibody (ABIN1851576) specifically detects MRPL39 in WB, IHC 和 ELISA. The antibody is reactive with 人 samples.
产品编号 ABIN1851576
发货至: 中国
Contact our Customer Service for availability and price in your country. Contact Info

Our Local Distributor

中国
北京 101111
No. 88 KeChuang 6th Street
Beijing Economic Technological Development Area
Room 801-803
4A Biotech Co.,Ltd.
Tel +86 (0512) 65829739 传真 +86 (010) 6788 5057

Quick Overview for MRPL39 抗体 (C-Term) (ABIN1851576)

抗原

See all MRPL39 抗体
MRPL39 (Mitochondrial Ribosomal Protein L39 (MRPL39))

适用

  • 41
  • 11
  • 2
  • 1
  • 1
  • 1
  • 1
  • 1
  • 1

宿主

  • 41

克隆类型

  • 41
多克隆

标记

  • 15
  • 3
  • 2
  • 2
  • 1
  • 1
  • 1
  • 1
  • 1
  • 1
  • 1
  • 1
  • 1
  • 1
  • 1
  • 1
  • 1
  • 1
  • 1
  • 1
  • 1
  • 1
  • 1
This MRPL39 antibody is un-conjugated

应用范围

  • 19
  • 14
  • 13
  • 13
  • 6
  • 3
  • 3
  • 2
  • 1
Western Blotting (WB), Immunohistochemistry (IHC), ELISA
You are here: