电话:
+86 (0512) 65829739
传真:
+86 (010) 6788 5057
电子邮件:
orders@antibodies-online.cn

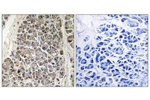
MRPS21 抗体 (Internal Region)

The 兔 多克隆 anti-MRPS21 antibody (ABIN1851552) specifically detects MRPS21 in IHC, ELISA, WB 和 IF/ICC. The antibody is reactive with 人, 小鼠 和 大鼠 samples.
产品编号 ABIN1851552
发货至: 中国
Contact our Customer Service for availability and price in your country. Contact Info

Our Local Distributor

中国
北京 101111
No. 88 KeChuang 6th Street
Beijing Economic Technological Development Area
Room 801-803
4A Biotech Co.,Ltd.
Tel +86 (0512) 65829739 传真 +86 (010) 6788 5057

Quick Overview for MRPS21 抗体 (Internal Region) (ABIN1851552)

抗原

See all MRPS21 抗体
MRPS21 (Mitochondrial Ribosomal Protein S21 (MRPS21))

适用

  • 15
  • 12
  • 11
  • 2
  • 1
人, 小鼠, 大鼠

宿主

  • 13
  • 2

克隆类型

  • 13
  • 2
多克隆

标记

  • 8
  • 1
  • 1
  • 1
  • 1
  • 1
  • 1
  • 1
This MRPS21 antibody is un-conjugated

应用范围

  • 6
  • 6
  • 6
  • 6
  • 1
  • 1
Immunohistochemistry (IHC), ELISA, Western Blotting (WB), Immunofluorescence (fixed cells) (IF/ICC)
You are here: