电话:
+86 (0512) 65829739
传真:
+86 (010) 6788 5057
电子邮件:
orders@antibodies-online.cn

CKLF 抗体 (Internal Region)

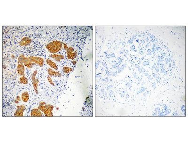
The 兔 多克隆 anti-CKLF antibody (ABIN1851120) specifically detects CKLF in WB, ELISA 和 IHC. The antibody is reactive with 人 和 小鼠 samples.
产品编号 ABIN1851120
发货至: 中国
Contact our Customer Service for availability and price in your country. Contact Info

Our Local Distributor

中国
北京 101111
No. 88 KeChuang 6th Street
Beijing Economic Technological Development Area
Room 801-803
4A Biotech Co.,Ltd.
Tel +86 (0512) 65829739 传真 +86 (010) 6788 5057

Quick Overview for CKLF 抗体 (Internal Region) (ABIN1851120)

抗原

See all CKLF 抗体
CKLF (Chemokine-Like Factor (CKLF))

适用

  • 40
  • 24
  • 16
人, 小鼠

宿主

  • 40

克隆类型

  • 40
多克隆

标记

  • 14
  • 2
  • 2
  • 2
  • 2
  • 2
  • 2
  • 1
  • 1
  • 1
  • 1
  • 1
  • 1
  • 1
  • 1
  • 1
  • 1
  • 1
  • 1
  • 1
  • 1
This CKLF antibody is un-conjugated

应用范围

  • 27
  • 13
  • 13
  • 12
  • 4
  • 3
  • 3
  • 3
  • 2
  • 2
Western Blotting (WB), ELISA, Immunohistochemistry (IHC)
You are here: