电话:
+86 (0512) 65829739
传真:
+86 (010) 6788 5057
电子邮件:
orders@antibodies-online.cn

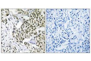
CAGE1 抗体 (C-Term)

The 兔 多克隆 anti-CAGE1 antibody (ABIN1850982) specifically detects CAGE1 in ELISA, WB 和 IHC. The antibody is reactive with 人 samples.
产品编号 ABIN1850982
发货至: 中国
Contact our Customer Service for availability and price in your country. Contact Info

Our Local Distributor

中国
北京 101111
No. 88 KeChuang 6th Street
Beijing Economic Technological Development Area
Room 801-803
4A Biotech Co.,Ltd.
Tel +86 (0512) 65829739 传真 +86 (010) 6788 5057

Quick Overview for CAGE1 抗体 (C-Term) (ABIN1850982)

抗原

CAGE1 (Cancer Antigen 1 (CAGE1))

适用

  • 23
  • 3
  • 1
  • 1

宿主

  • 20
  • 2
  • 1

克隆类型

  • 22
  • 1
多克隆

标记

  • 16
  • 1
  • 1
  • 1
  • 1
  • 1
  • 1
  • 1
This CAGE1 antibody is un-conjugated

应用范围

  • 14
  • 9
  • 6
  • 2
  • 2
  • 1
  • 1
  • 1
  • 1
  • 1
ELISA, Western Blotting (WB), Immunohistochemistry (IHC)
You are here: