电话:
+86 (0512) 65829739
传真:
+86 (010) 6788 5057
电子邮件:
orders@antibodies-online.cn

FOXN1 抗体 (C-Term)

The 山羊 多克隆 anti-FOXN1 antibody is suitable to detect FOXN1 in samples from 人. It has been validated for ELISA 和 IHC.
产品编号 ABIN185069
发货至: 中国
Contact our Customer Service for availability and price in your country. Contact Info

Our Local Distributor

中国
北京 101111
No. 88 KeChuang 6th Street
Beijing Economic Technological Development Area
Room 801-803
4A Biotech Co.,Ltd.
Tel +86 (0512) 65829739 传真 +86 (010) 6788 5057

Quick Overview for FOXN1 抗体 (C-Term) (ABIN185069)

抗原

See all FOXN1 抗体
FOXN1 (Forkhead Box N1 (FOXN1))

适用

  • 45
  • 21
  • 20
  • 2
  • 2
  • 1
  • 1
  • 1
  • 1
  • 1

宿主

  • 45
山羊

克隆类型

  • 45
多克隆

标记

  • 15
  • 4
  • 3
  • 3
  • 2
  • 1
  • 1
  • 1
  • 1
  • 1
  • 1
  • 1
  • 1
  • 1
  • 1
  • 1
  • 1
  • 1
  • 1
  • 1
  • 1
  • 1
  • 1
This FOXN1 antibody is un-conjugated

应用范围

  • 35
  • 23
  • 17
  • 13
  • 13
  • 4
  • 3
  • 3
  • 1
  • 1
  • 1
ELISA, Immunohistochemistry (IHC)

质量等级

Verified
  • 抗原表位

    • 16
    • 7
    • 6
    • 3
    • 2
    • 2
    • 1
    • 1
    • 1
    • 1
    • 1
    • 1
    C-Term

    原理

    FOXN1

    序列

    SVYLSPSSKP VALA

    交叉反应

    纯化方法

    Purified from goat serum by ammonium sulphate precipitation followed by antigen affinity chromatography using the immunizing peptide.

    免疫原

    Peptide with sequence C-SVYLSPSSKPVALA, from the C Terminus of the protein sequence according to NP_003584.2.

    亚型

    IgG
  • 应用备注

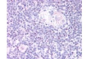
    Immunohistochemistry: In paraffin embedded Human Thymus shows nuclear staining of thymocytes in the densely populated cortex. Recommended concentration: 4-6 μg/mL.

    Peptide ELISA: antibody detection limit dilution 1:16000.

    限制

    仅限研究用
  • 状态

    Liquid

    浓度

    0.5 mg/mL

    缓冲液

    Supplied at 0.5 mg/mL in Tris saline, 0.02 % sodium azide, pH 7.3 with 0.5 % bovine serum albumin.

    储存液

    Sodium azide

    注意事项

    This product contains Sodium azide: a POISONOUS AND HAZARDOUS SUBSTANCE which should be handled by trained staff only.

    注意事项

    Minimize freezing and thawing.

    储存条件

    -20 °C

    储存方法

    Aliquot and store at -20°C, with minimal freeze/thawing. A working aliquot may be refrigerated at 4°C for a few weeks and still remain viable.
  • 抗原

    FOXN1 (Forkhead Box N1 (FOXN1))

    别名

    FOXN1

    背景

    FOXN1, WHN, winged-helix nude, FKHL20, forkhead box protein N1, forkhead box N1, RONU, Rowett nude, winged helix nude, winged-helix nude

    基因ID

    8456

    NCBI登录号

    NP_003584
You are here: