电话:
+86 (0512) 65829739
传真:
+86 (010) 6788 5057
电子邮件:
orders@antibodies-online.cn

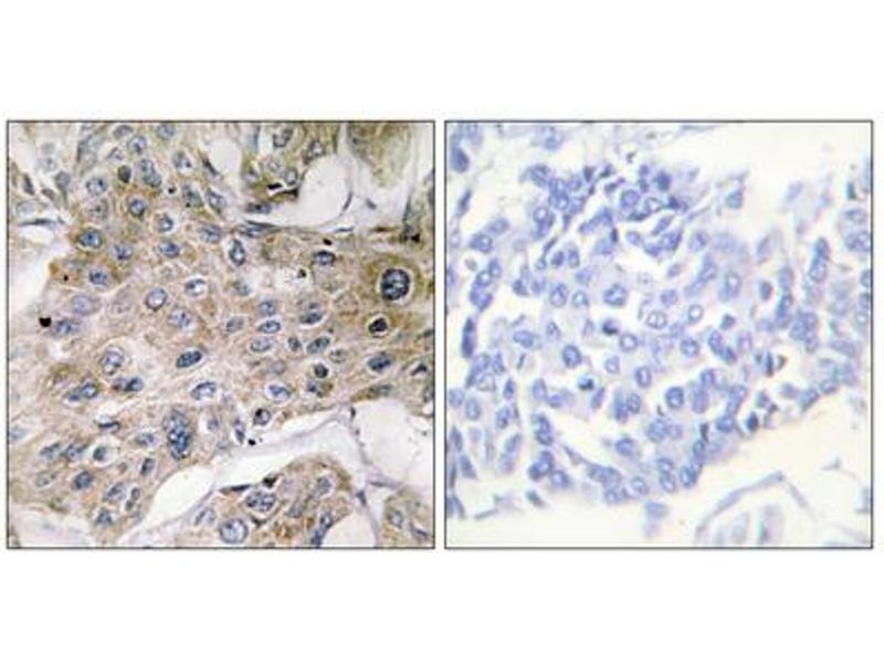
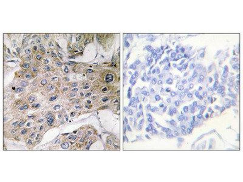
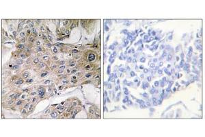
COX7S/A2 (N-Term) 抗体

The 兔 多克隆 anti-COX7S/A2 antibody is suitable to detect COX7S/A2 in samples from 人, 小鼠 和 大鼠. It has been validated for IHC, ELISA 和 WB.
产品编号 ABIN1850330
发货至: 中国
Contact our Customer Service for availability and price in your country. Contact Info

Our Local Distributor

中国
北京 101111
No. 88 KeChuang 6th Street
Beijing Economic Technological Development Area
Room 801-803
4A Biotech Co.,Ltd.
Tel +86 (0512) 65829739 传真 +86 (010) 6788 5057

Quick Overview for COX7S/A2 (N-Term) 抗体 (ABIN1850330)

抗原

COX7S/A2

适用

人, 小鼠, 大鼠

宿主

  • 8

克隆类型

  • 8
多克隆

标记

  • 1
  • 1
  • 1
  • 1
  • 1
  • 1
  • 1
  • 1
非结合性

应用范围

Immunohistochemistry (IHC), ELISA, Western Blotting (WB)
  • 抗原表位

    N-Term

    特异性

    Rabbit polyclonal antibody against COX7S/A2 protein.

    纯化方法

    The antibody was affinity-purified from rabbit antiserum by affinity-chromatography using epitope-specific immunogen

    免疫原

    The antiserum was produced against synthesized peptide derived from N-terminal of human COX7S/A2.
  • 限制

    仅限研究用
  • 储存条件

    -20 °C

    储存方法

    Aliquot and store at -20 °C. Avoid repeated freeze/thaw cycles.
  • 抗原

    COX7S/A2

    UniProt

    O60397, P14406
You are here: