电话:
+86 (0512) 65829739
传真:
+86 (010) 6788 5057
电子邮件:
orders@antibodies-online.cn

HCCS 抗体 (Internal Region)

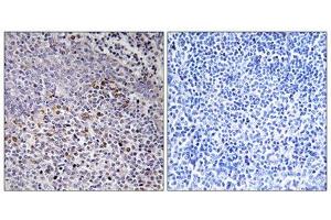
The 兔 多克隆 anti-HCCS antibody (ABIN1850244) specifically detects HCCS in WB, IHC, ELISA 和 IF/ICC. The antibody is reactive with 人 和 小鼠 samples.
产品编号 ABIN1850244
发货至: 中国
Contact our Customer Service for availability and price in your country. Contact Info

Our Local Distributor

中国
北京 101111
No. 88 KeChuang 6th Street
Beijing Economic Technological Development Area
Room 801-803
4A Biotech Co.,Ltd.
Tel +86 (0512) 65829739 传真 +86 (010) 6788 5057

Quick Overview for HCCS 抗体 (Internal Region) (ABIN1850244)

抗原

See all HCCS 抗体
HCCS (Holocytochrome C Synthase (HCCS))

适用

  • 41
  • 41
  • 24
  • 5
  • 3
  • 2
  • 2
  • 2
  • 1
  • 1
  • 1
人, 小鼠

宿主

  • 51
  • 5

克隆类型

  • 54
  • 2
多克隆

标记

  • 30
  • 3
  • 2
  • 2
  • 1
  • 1
  • 1
  • 1
  • 1
  • 1
  • 1
  • 1
  • 1
  • 1
  • 1
  • 1
  • 1
  • 1
  • 1
  • 1
  • 1
  • 1
  • 1
This HCCS antibody is un-conjugated

应用范围

  • 31
  • 18
  • 16
  • 13
  • 13
  • 7
  • 7
  • 4
  • 4
  • 3
  • 1
  • 1
Western Blotting (WB), Immunohistochemistry (IHC), ELISA, Immunofluorescence (fixed cells) (IF/ICC)
You are here: