Lysine (K)-Specific Methyltransferase 2B (KMT2B) (C-Term) 抗体
Our Local Distributor
北京 101111
Quick Overview for Lysine (K)-Specific Methyltransferase 2B (KMT2B) (C-Term) 抗体 (ABIN184881)
抗原
See all Lysine (K)-Specific Methyltransferase 2B (KMT2B) 抗体适用
宿主
克隆类型
标记
应用范围
质量等级
-
-
抗原表位
- C-Term
-
原理
- KMT2B/MLL4
-
序列
- CNCGAKRCRR FLN
-
交叉反应
- 犬, 人, 小鼠, Pig, 大鼠
-
纯化方法
- Purified from goat serum by ammonium sulphate precipitation followed by antigen affinity chromatography using the immunizing peptide.
-
免疫原
- Peptide with sequence CNCGAKRCRRFLN, from the C Terminus of the protein sequence according to NP_055542.1.
-
亚型
- IgG
-
-
-
-
应用备注
-
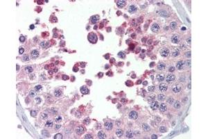
Immunohistochemistry: Positive staining seen in paraffin embedded Human Testis and Human Brain Cortex. Recommended concentration: 5-10 μg/mL.
Western Blot: Using our routine western blotting protocol we would not expect to reliably detect proteins larger than 250 kDa (calculated MWt. of approx. 294KDa according to NP_055542.1).
Peptide ELISA: antibody detection limit dilution 1:128000.
-
限制
- 仅限研究用
-
-
-
状态
- Liquid
-
浓度
- 0.5 mg/mL
-
缓冲液
- Supplied at 0.5 mg/mL in Tris saline, 0.02 % sodium azide, pH 7.3 with 0.5 % bovine serum albumin.
-
储存液
- Sodium azide
-
注意事项
- This product contains Sodium azide: a POISONOUS AND HAZARDOUS SUBSTANCE which should be handled by trained staff only.
-
注意事项
- Minimize freezing and thawing.
-
储存条件
- -20 °C
-
储存方法
- Aliquot and store at -20°C, with minimal freeze/thawing. A working aliquot may be refrigerated at 4°C for a few weeks and still remain viable.
-
-
- Lysine (K)-Specific Methyltransferase 2B (KMT2B)
-
别名
- KMT2B
-
背景
- KMT2B, MLL4, myeloid/lymphoid or mixed-lineage leukemia 4, HRX2, MLL2, KIAA0304, KIAA0304 gene product, DYT28, MLL1B, WBP7, WBP-7, CXXC10, Lysine methyltransferase 2B histone-lysine N-methyltransferase 2B[
-
基因ID
- 9757, 75410
-
NCBI登录号
- NP_055542
-
途径
- Warburg Effect
抗原
-