电话:
+86 (0512) 65829739
传真:
+86 (010) 6788 5057
电子邮件:
orders@antibodies-online.cn

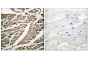
Sodium Channel 抗体 (Internal Region, pan)

The 兔 多克隆 anti-Sodium Channel antibody is suitable to detect Sodium Channel in samples from 人, 小鼠 和 大鼠. It has been validated for IHC, ELISA 和 WB.
产品编号 ABIN1848776
发货至: 中国
Contact our Customer Service for availability and price in your country. Contact Info

Our Local Distributor

中国
北京 101111
No. 88 KeChuang 6th Street
Beijing Economic Technological Development Area
Room 801-803
4A Biotech Co.,Ltd.
Tel +86 (0512) 65829739 传真 +86 (010) 6788 5057

Quick Overview for Sodium Channel 抗体 (Internal Region, pan) (ABIN1848776)

抗原

Sodium Channel

适用

人, 小鼠, 大鼠

宿主

  • 1

克隆类型

  • 1
多克隆

标记

  • 1
This Sodium Channel antibody is un-conjugated

应用范围

Immunohistochemistry (IHC), ELISA, Western Blotting (WB)
  • 抗原表位

    Internal Region, pan

    特异性

    Rabbit polyclonal antibody against Sodium Channel-pan protein.

    纯化方法

    The antibody was affinity-purified from rabbit antiserum by affinity-chromatography using epitope-specific immunogen

    免疫原

    The antiserum was produced against synthesized peptide derived from internal of human sodium channel.
  • 限制

    仅限研究用
  • 储存条件

    -20 °C

    储存方法

    Aliquot and store at -20 °C. Avoid repeated freeze/thaw cycles.
  • 抗原

    Sodium Channel

    UniProt

    P35498, Q99250, Q9NY46, P35499, Q14524, Q9UQD0, Q15858, Q9Y5Y9, Q9UI33
You are here: