电话:
+86 (0512) 65829739
传真:
+86 (010) 6788 5057
电子邮件:
orders@antibodies-online.cn

P18 INK 抗体 (C-Term)

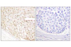
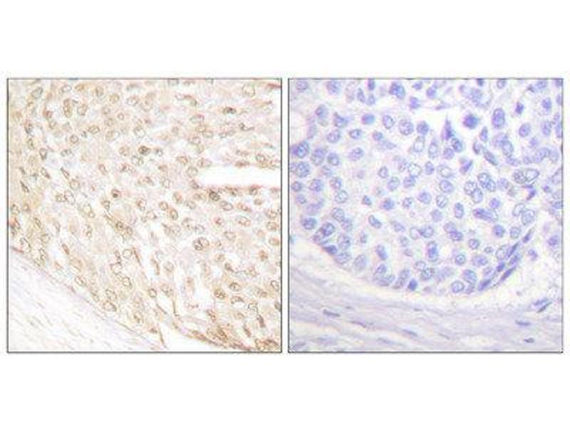
The 兔 多克隆 anti-P18 INK antibody (ABIN1848714) specifically detects P18 INK in IHC, ELISA 和 WB. The antibody is reactive with 人 和 小鼠 samples.
产品编号 ABIN1848714
发货至: 中国
Contact our Customer Service for availability and price in your country. Contact Info

Our Local Distributor

中国
北京 101111
No. 88 KeChuang 6th Street
Beijing Economic Technological Development Area
Room 801-803
4A Biotech Co.,Ltd.
Tel +86 (0512) 65829739 传真 +86 (010) 6788 5057

Quick Overview for P18 INK 抗体 (C-Term) (ABIN1848714)

抗原

P18 INK

适用

  • 11
  • 10
  • 8
人, 小鼠

宿主

  • 11

克隆类型

  • 11
多克隆

标记

  • 4
  • 1
  • 1
  • 1
  • 1
  • 1
  • 1
  • 1
This P18 INK antibody is un-conjugated

应用范围

  • 4
  • 4
  • 4
  • 2
  • 2
Immunohistochemistry (IHC), ELISA, Western Blotting (WB)
  • 抗原表位

    C-Term

    特异性

    Rabbit polyclonal antibody against p18 INK protein.

    纯化方法

    The antibody was affinity-purified from rabbit antiserum by affinity-chromatography using epitope-specific immunogen

    免疫原

    The antiserum was produced against synthesized peptide derived from C-terminal of human p18 INK antibody.
  • 限制

    仅限研究用
  • 储存条件

    -20 °C

    储存方法

    Aliquot and store at -20 °C. Avoid repeated freeze/thaw cycles.
  • 抗原

    P18 INK

    UniProt

    P42773
You are here: