电话:
+86 (0512) 65829739
传真:
+86 (010) 6788 5057
电子邮件:
orders@antibodies-online.cn

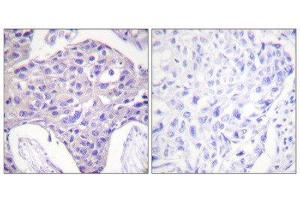
FOXO1 抗体 (pan, Thr24, Thr32)

The 兔 多克隆 anti-FOXO1 antibody is suitable to detect FOXO1 in samples from 人, 小鼠 和 大鼠. It has been validated for IHC 和 ELISA.
产品编号 ABIN1847948
发货至: 中国
Contact our Customer Service for availability and price in your country. Contact Info

Our Local Distributor

中国
北京 101111
No. 88 KeChuang 6th Street
Beijing Economic Technological Development Area
Room 801-803
4A Biotech Co.,Ltd.
Tel +86 (0512) 65829739 传真 +86 (010) 6788 5057

Quick Overview for FOXO1 抗体 (pan, Thr24, Thr32) (ABIN1847948)

抗原

See all FOXO1 抗体
FOXO1 (Forkhead Box O1 (FOXO1))

适用

  • 262
  • 199
  • 175
  • 51
  • 33
  • 25
  • 18
  • 13
  • 9
  • 8
  • 7
  • 4
  • 2
  • 1
  • 1
人, 小鼠, 大鼠

宿主

  • 243
  • 22
  • 1

克隆类型

  • 210
  • 56
多克隆

标记

  • 122
  • 12
  • 9
  • 8
  • 7
  • 7
  • 7
  • 7
  • 7
  • 7
  • 7
  • 7
  • 7
  • 7
  • 7
  • 5
  • 5
  • 5
  • 5
  • 5
  • 5
  • 4
  • 2
  • 2
This FOXO1 antibody is un-conjugated

应用范围

  • 220
  • 91
  • 80
  • 78
  • 75
  • 61
  • 54
  • 47
  • 40
  • 19
  • 7
  • 4
  • 3
  • 2
  • 2
  • 2
  • 1
Immunohistochemistry (IHC), ELISA
You are here: