电话:
+86 (0512) 65829739
传真:
+86 (010) 6788 5057
电子邮件:
orders@antibodies-online.cn

DCXR 抗体 (C-Term)

This 山羊 多克隆 antibody specifically detects DCXR in WB, IHC 和 ELISA. It exhibits reactivity toward 人.
产品编号 ABIN184786
发货至: 中国
Contact our Customer Service for availability and price in your country. Contact Info

Our Local Distributor

中国
北京 101111
No. 88 KeChuang 6th Street
Beijing Economic Technological Development Area
Room 801-803
4A Biotech Co.,Ltd.
Tel +86 (0512) 65829739 传真 +86 (010) 6788 5057

Quick Overview for DCXR 抗体 (C-Term) (ABIN184786)

抗原

See all DCXR 抗体
DCXR (Dicarbonyl/L-Xylulose Reductase (DCXR))

适用

  • 30
  • 15
  • 4
  • 2
  • 2
  • 2
  • 2
  • 1
  • 1
  • 1

宿主

  • 22
  • 8
山羊

克隆类型

  • 24
  • 6
多克隆

标记

  • 23
  • 1
  • 1
  • 1
  • 1
  • 1
  • 1
  • 1
This DCXR antibody is un-conjugated

应用范围

  • 23
  • 11
  • 7
  • 7
  • 5
  • 2
  • 1
  • 1
  • 1
Western Blotting (WB), Immunohistochemistry (IHC), ELISA

质量等级

Verified
  • 抗原表位

    • 5
    • 3
    • 2
    • 2
    • 1
    • 1
    • 1
    • 1
    • 1
    C-Term

    原理

    Dicarbonyl Reductase

    序列

    GSTLPVEGGF WAC

    交叉反应

    纯化方法

    Purified from goat serum by ammonium sulphate precipitation followed by antigen affinity chromatography using the immunizing peptide.

    免疫原

    GSTLPVEGGFWAC

    亚型

    IgG
  • 应用备注

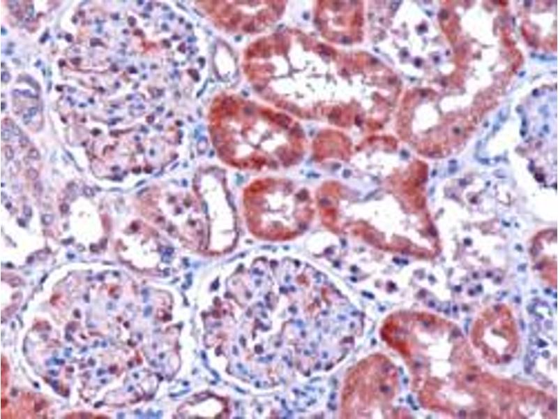
    Immunohistochemistry: In paraffin embedded human kidney, stains membrane / cytoplasm in epithelial cells of renal glomeruli and tubules. Recommended concentration, 1-2 μg/mL.

    Western Blot: Approx 26 kDa band observed in human kidney, liver and testes lysates (calculated MW of 25.9 kDa according to NP_057370.1). Recommended for use at 0.1-0.3 μg/mL.

    Peptide ELISA: antibody detection limit dilution 1:32000.

    限制

    仅限研究用
  • 状态

    Liquid

    浓度

    0.5 mg/mL

    缓冲液

    Supplied at 0.5 mg/mL in Tris saline, 0.02 % sodium azide, pH 7.3 with 0.5 % bovine serum albumin.

    储存液

    Sodium azide

    注意事项

    This product contains Sodium azide: a POISONOUS AND HAZARDOUS SUBSTANCE which should be handled by trained staff only.

    注意事项

    Minimize freezing and thawing.

    储存条件

    -20 °C

    储存方法

    Aliquot and store at -20°C, with minimal freeze/thawing. A working aliquot may be refrigerated at 4°C for a few weeks and still remain viable.
  • 抗原

    DCXR (Dicarbonyl/L-Xylulose Reductase (DCXR))

    别名

    DCXR

    背景

    DCXR, dicarbonyl/L-xylulose reductase, DCR, HCRII, KIDCR, P34H, carbonyl reductase, carbonyl reductase II, kidney dicarbonyl reductase, HCR2, SDR20C1, human carbonyl reductase 2, kidney dicarbonyl reductase, short chain dehydrogenase/reductase family 20C

    基因ID

    51181

    NCBI登录号

    NP_057370

    途径

    Glycosaminoglycan Metabolic Process, Monocarboxylic Acid Catabolic Process
You are here: