电话:
+86 (0512) 65829739
传真:
+86 (010) 6788 5057
电子邮件:
orders@antibodies-online.cn

TBL1X 抗体 (C-Term)

The 山羊 多克隆 anti-TBL1X antibody is suitable to detect TBL1X in samples from 人. It has been validated for ELISA 和 IHC.
产品编号 ABIN184688
发货至: 中国
Contact our Customer Service for availability and price in your country. Contact Info

Our Local Distributor

中国
北京 101111
No. 88 KeChuang 6th Street
Beijing Economic Technological Development Area
Room 801-803
4A Biotech Co.,Ltd.
Tel +86 (0512) 65829739 传真 +86 (010) 6788 5057

Quick Overview for TBL1X 抗体 (C-Term) (ABIN184688)

抗原

See all TBL1X 抗体
TBL1X (Transducin (Beta)-Like 1X-Linked (TBL1X))

适用

  • 25
  • 4
  • 3
  • 1

宿主

  • 19
  • 6
山羊

克隆类型

  • 20
  • 5
多克隆

标记

  • 15
  • 2
  • 1
  • 1
  • 1
  • 1
  • 1
  • 1
  • 1
  • 1
This TBL1X antibody is un-conjugated

应用范围

  • 13
  • 9
  • 3
  • 2
  • 2
  • 1
  • 1
  • 1
ELISA, Immunohistochemistry (IHC)

质量等级

Verified
  • 抗原表位

    • 5
    • 3
    • 1
    • 1
    • 1
    • 1
    C-Term

    原理

    TBL1X / TBL1XR1

    序列

    SASDGSVCVL DLRK

    特异性

    This antibody is also expected to recognise the human protein TBLR1 (NP_078941), which is very similar. Variants (NP_005638.1, NP_001132938.1) encode isoform a (TBL1X) and variants (NP_001132939.1, NP_001132940.1 ) encode isoform b (TBLX1).

    交叉反应

    Cow, 犬, 人, 小鼠, 大鼠

    纯化方法

    Purified from goat serum by ammonium sulphate precipitation followed by antigen affinity chromatography using the immunizing peptide.

    免疫原

    SASDGSVCVLDLRK

    亚型

    IgG
  • 应用备注

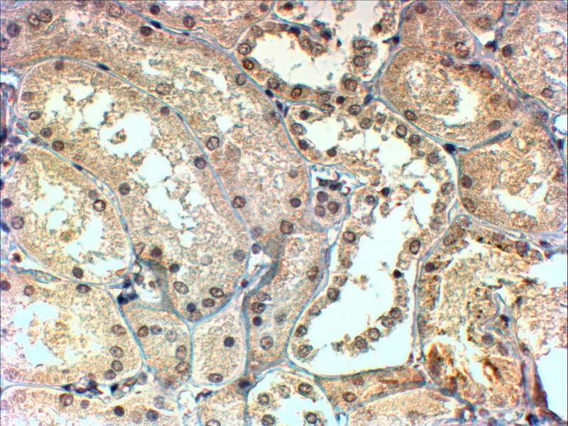
    Immunohistochemistry: In paraffin embedded Human Kidney shows preferential nuclear staining in the DCT. Recommended concentration, 4-6 μg/mL.

    Peptide ELISA: antibody detection limit dilution 1:4000.

    限制

    仅限研究用
  • 状态

    Liquid

    浓度

    0.5 mg/mL

    缓冲液

    Supplied at 0.5 mg/mL in Tris saline, 0.02 % sodium azide, pH 7.3 with 0.5 % bovine serum albumin.

    储存液

    Sodium azide

    注意事项

    This product contains Sodium azide: a POISONOUS AND HAZARDOUS SUBSTANCE which should be handled by trained staff only.

    注意事项

    Minimize freezing and thawing.

    储存条件

    -20 °C

    储存方法

    Aliquot and store at -20°C, with minimal freeze/thawing. A working aliquot may be refrigerated at 4°C for a few weeks and still remain viable.
  • 抗原

    TBL1X (Transducin (Beta)-Like 1X-Linked (TBL1X))

    别名

    TBL1X

    背景

    TBL1X, TBL1XR1, EBI, TBL1, transducin (beta)-like 1X-linked, transducin (beta)-like 1, transducin (beta)-like 1 X-linked, transducin (beta)-like 1X-linked receptor 1, C21, DC42, FLJ12894, IRA1, TBLR1, TBL1-related protein 1, nuclear receptor co-repressor

    基因ID

    6907, 79718

    NCBI登录号

    NP_005638, NP_001132938, NP_001132939, NP_001132940, NP_078941

    途径

    Sensory Perception of Sound, Regulation of Lipid Metabolism by PPARalpha
You are here: