电话:
+86 (0512) 65829739
传真:
+86 (010) 6788 5057
电子邮件:
orders@antibodies-online.cn

ELMO2 抗体 (C-Term)

This 山羊 多克隆 antibody specifically detects ELMO2 in WB, ELISA, IHC, FACS 和 IF. It exhibits reactivity toward 人, 小鼠 和 大鼠.
产品编号 ABIN184684
发货至: 中国
Contact our Customer Service for availability and price in your country. Contact Info

Our Local Distributor

中国
北京 101111
No. 88 KeChuang 6th Street
Beijing Economic Technological Development Area
Room 801-803
4A Biotech Co.,Ltd.
Tel +86 (0512) 65829739 传真 +86 (010) 6788 5057

Quick Overview for ELMO2 抗体 (C-Term) (ABIN184684)

抗原

See all ELMO2 抗体
ELMO2 (Engulfment and Cell Motility 2 (ELMO2))

适用

人, 小鼠, 大鼠

宿主

  • 31
  • 2
山羊

克隆类型

  • 31
  • 2
多克隆

标记

  • 17
  • 3
  • 3
  • 2
  • 1
  • 1
  • 1
  • 1
  • 1
  • 1
  • 1
  • 1
This ELMO2 antibody is un-conjugated

应用范围

  • 18
  • 17
  • 13
  • 8
  • 2
  • 2
  • 2
  • 1
  • 1
  • 1
Western Blotting (WB), ELISA, Immunohistochemistry (IHC), Flow Cytometry (FACS), Immunofluorescence (IF)

质量等级

Verified
  • 抗原表位

    • 7
    • 6
    • 2
    • 2
    • 2
    • 1
    • 1
    • 1
    • 1
    • 1
    C-Term

    原理

    ELMO2

    序列

    PKEPSSYDFV YHYG

    交叉反应

    Cow, 犬, 人, 小鼠, Pig, 大鼠

    纯化方法

    Purified from goat serum by ammonium sulphate precipitation followed by antigen affinity chromatography using the immunizing peptide.

    免疫原

    C-PKEPSSYDFVYHYG

    亚型

    IgG
  • 应用备注

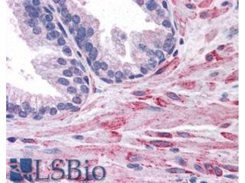
    Immunohistochemistry: In paraffin embedded Human Prostate shows pixulated staining in the cytoplasm of stroma cells. Recommended concentration: 3-6 μg/mL.

    Western Blot: Approx 80 kDa band observed in lysates of cell lines HEK293, Jurkat, RAW264.7 and in Human Cerebellum and Rat Brain lysates (calculated MW of 82.6 kDa according to Human NP_573403.1 and NP_877496.1 and Mouse NP_525026.2, and 83.7 kDa according

    Peptide ELISA: antibody detection limit dilution 1:32000.

    说明

    Immunofluorescence: Strong expression of the protein seen in A549 and U2OS cells. Recommended concentration: 10μg/ml.

    Flow Cytometry: Flow cytometric analysis of A549 cells. Recommended concentration: 10ug/ml.

    限制

    仅限研究用
  • 状态

    Liquid

    浓度

    0.5 mg/mL

    缓冲液

    Supplied at 0.5 mg/mL in Tris saline, 0.02 % sodium azide, pH 7.3 with 0.5 % bovine serum albumin.

    储存液

    Sodium azide

    注意事项

    This product contains Sodium azide: a POISONOUS AND HAZARDOUS SUBSTANCE which should be handled by trained staff only.

    注意事项

    Minimize freezing and thawing.

    储存条件

    -20 °C

    储存方法

    Aliquot and store at -20°C, with minimal freeze/thawing. A working aliquot may be refrigerated at 4°C for a few weeks and still remain viable.
  • 抗原

    ELMO2 (Engulfment and Cell Motility 2 (ELMO2))

    别名

    ELMO2

    背景

    ELMO2, engulfment and cell motility 2 (ced-12 homolog, C. elegans), CED12, FLJ11656, KIAA1834, ced-12 homolog 2, PH domain protein CED12A, engulfment and cell motility 2, engulfment and cell motility 2, RP11-394O2.2, CED-12, ELMO-2

    基因ID

    63916, 140579

    NCBI登录号

    NP_877496, NP_573403
You are here: