PPP2CB 抗体 (C-Term)
Our Local Distributor
北京 101111
Quick Overview for PPP2CB 抗体 (C-Term) (ABIN184646)
抗原
See all PPP2CB 抗体适用
宿主
克隆类型
标记
应用范围
质量等级
-
-
抗原表位
- C-Term
-
原理
- PPP2CA / PPP2CB
-
序列
- EPHVTRRTPD YFL
-
特异性
- Two variants NP_001009552.1 and NP_004147.1 represent identical protein.
-
交叉反应
- Cow, 犬, 人, 小鼠, Pig, 大鼠
-
纯化方法
- Purified from goat serum by ammonium sulphate precipitation followed by antigen affinity chromatography using the immunizing peptide.
-
免疫原
- Peptide with sequence C-EPHVTRRTPDYFL, from the C Terminus of the protein sequence according to NP_002706.1, NP_004147.1.
-
亚型
- IgG
-
-
-
-
应用备注
-
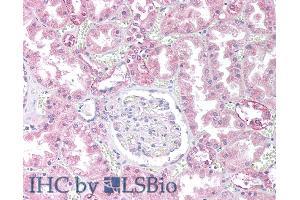
Immunohistochemistry: Paraffin embedded Human Kidney and Thyroid. Recommended concentration: 10 μg/mL.
Western Blot: Approx 36 kDa band observed in Human Cerebellum and in Mouse, Rat and Pig Brain lysates (calculated MW of 35.6 kDa according to Human NP_002706.1). Recommended concentration: 1-3 μg/mL. Primary incubation was 1 hour.
Peptide ELISA: antibody detection limit dilution 1:128000.
-
限制
- 仅限研究用
-
-
-
状态
- Liquid
-
浓度
- 0.5 mg/mL
-
缓冲液
- Supplied at 0.5 mg/mL in Tris saline, 0.02 % sodium azide, pH 7.3 with 0.5 % bovine serum albumin.
-
储存液
- Sodium azide
-
注意事项
- This product contains Sodium azide: a POISONOUS AND HAZARDOUS SUBSTANCE which should be handled by trained staff only.
-
注意事项
- Minimize freezing and thawing.
-
储存条件
- -20 °C
-
储存方法
- Aliquot and store at -20°C, with minimal freeze/thawing. A working aliquot may be refrigerated at 4°C for a few weeks and still remain viable.
-
-
- PPP2CB (Protein Phosphatase 2, Catalytic Subunit, beta Isozyme (PPP2CB))
-
别名
- PPP2CA / PPP2CB
-
背景
- PPP2CA, protein phosphatase 2 (formerly 2A), catalytic subunit, alpha isoform, PP2Ac, PP2CA, RP-C, PP2A-alpha, protein phosphatase 2, catalytic subunit, alpha isoform, replication protein C, serine/threonine protein phosphatase 2A, catalytic subunit, alph
-
基因ID
- 5515, 5516, 19052
-
NCBI登录号
- NP_002706, NP_004147
-
途径
- Mitotic G1-G1/S Phases, Hepatitis C, Toll-Like Receptors Cascades
抗原
-