电话:
+86 (0512) 65829739
传真:
+86 (010) 6788 5057
电子邮件:
orders@antibodies-online.cn

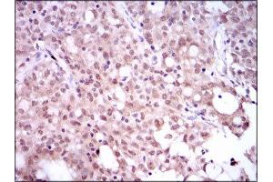
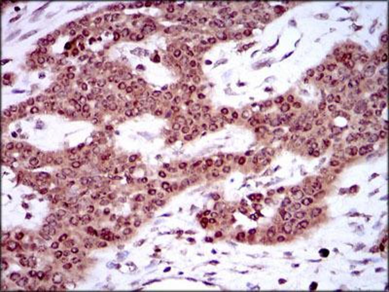
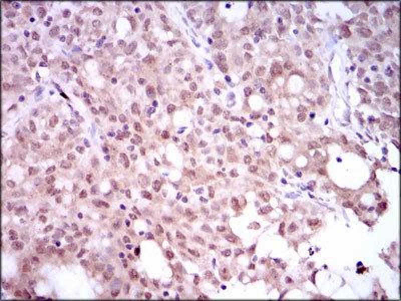
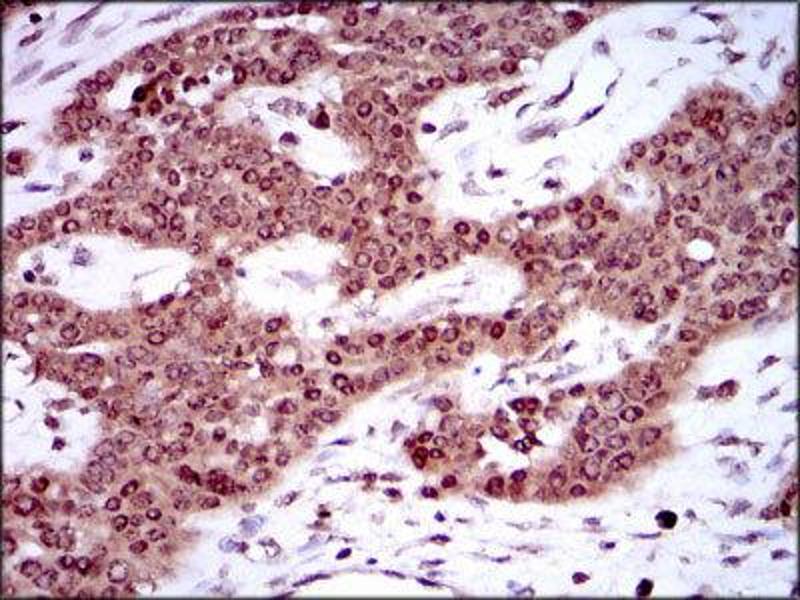
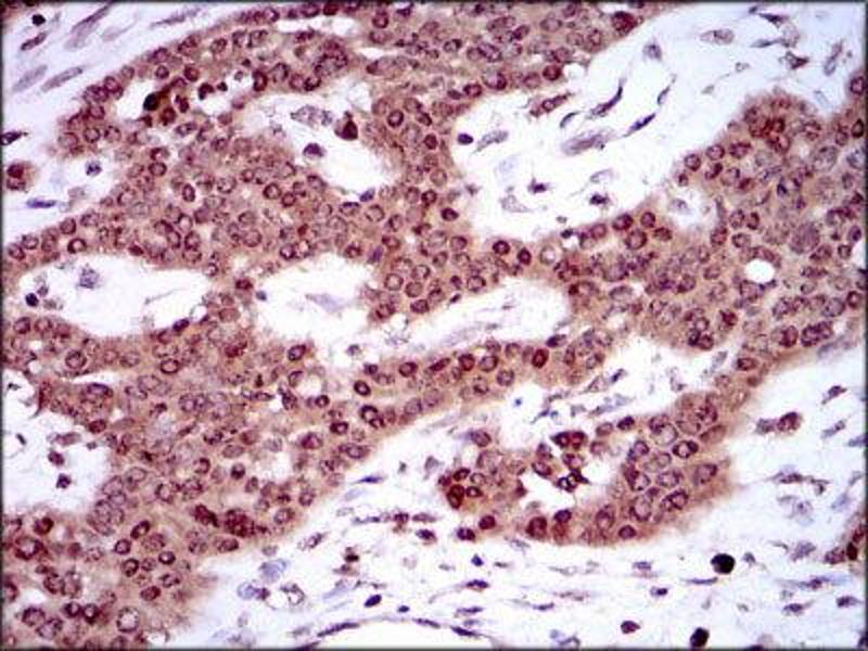
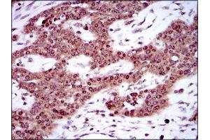
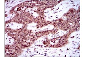
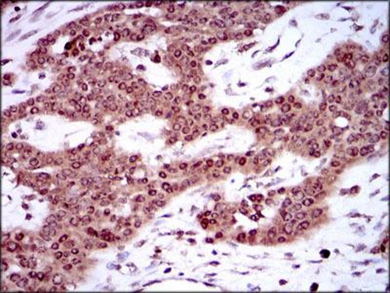
SRY 抗体 (AA 1-204)

This 小鼠 单克隆 antibody specifically detects SRY in WB, ELISA, IHC 和 FACS. It exhibits reactivity toward 人.
产品编号 ABIN1846456
发货至: 中国
Contact our Customer Service for availability and price in your country. Contact Info

Our Local Distributor

中国
北京 101111
No. 88 KeChuang 6th Street
Beijing Economic Technological Development Area
Room 801-803
4A Biotech Co.,Ltd.
Tel +86 (0512) 65829739 传真 +86 (010) 6788 5057

Quick Overview for SRY 抗体 (AA 1-204) (ABIN1846456)

抗原

See all SRY 抗体
SRY (Sex Determining Region Y (SRY))

适用

  • 29
  • 13
  • 2
  • 1
  • 1

宿主

  • 35
  • 9
小鼠

克隆类型

  • 37
  • 7
单克隆

标记

  • 28
  • 4
  • 3
  • 3
  • 1
  • 1
  • 1
  • 1
  • 1
  • 1
This SRY antibody is un-conjugated

应用范围

  • 27
  • 21
  • 5
  • 5
  • 1
  • 1
  • 1
  • 1
  • 1
  • 1
Western Blotting (WB), ELISA, Immunohistochemistry (IHC), Flow Cytometry (FACS)
  • 抗原表位

    • 5
    • 4
    • 4
    • 3
    • 1
    • 1
    • 1
    • 1
    • 1
    • 1
    • 1
    • 1
    • 1
    AA 1-204

    纯化方法

    Purified antibody

    免疫原

    Purified recombinant fragment of human SRY (AA:1-204) expressed in E. Coli.

    亚型

    IgG1
  • 应用备注

    Optimal working dilution should be determined by the investigator.

    限制

    仅限研究用
  • 状态

    Liquid

    浓度

    1.0 mg/mL

    缓冲液

    PBS with 0.05 % sodium azide and 0.5 % protein stabilizer.

    储存液

    Sodium azide

    注意事项

    This product contains Sodium azide: a POISONOUS AND HAZARDOUS SUBSTANCE which should be handled by trained staff only.

    储存条件

    -20 °C

    储存方法

    Aliquot and store at -20 °C. Avoid repeated freeze/thaw cycles.
  • 抗原

    SRY (Sex Determining Region Y (SRY))

    别名

    SRY

    背景

    This intronless gene encodes a transcription factor that is a member of the high mobility group (HMG)-box family of DNA-binding proteins. This protein is the testis-determining factor (TDF), which initiates male sex determination. Mutations in this gene give rise to XY females with gonadal dysgenesis (Swyer syndrome),.

    分子量

    23.9 kDa

    基因ID

    6736

    UniProt

    Q05066
You are here: