电话:
+86 (0512) 65829739
传真:
+86 (010) 6788 5057
电子邮件:
orders@antibodies-online.cn

MTMR9 抗体 (C-Term)

The 山羊 多克隆 anti-MTMR9 antibody (ABIN184635) specifically detects MTMR9 in IHC, ELISA, IF 和 FACS. The antibody is reactive with 人 和 大鼠 samples.
产品编号 ABIN184635
发货至: 中国
Contact our Customer Service for availability and price in your country. Contact Info

Our Local Distributor

中国
北京 101111
No. 88 KeChuang 6th Street
Beijing Economic Technological Development Area
Room 801-803
4A Biotech Co.,Ltd.
Tel +86 (0512) 65829739 传真 +86 (010) 6788 5057

Quick Overview for MTMR9 抗体 (C-Term) (ABIN184635)

抗原

See all MTMR9 抗体
MTMR9 (Myotubularin Related Protein 9 (MTMR9))

适用

  • 17
  • 4
  • 2
人, 大鼠

宿主

  • 16
  • 2
山羊

克隆类型

  • 16
  • 2
多克隆

标记

  • 13
  • 2
  • 2
  • 1
This MTMR9 antibody is un-conjugated

应用范围

  • 14
  • 8
  • 6
  • 6
  • 4
  • 3
  • 1
Immunohistochemistry (IHC), ELISA, Immunofluorescence (IF), Flow Cytometry (FACS)

质量等级

Verified
  • 抗原表位

    • 4
    • 3
    • 2
    • 2
    • 1
    • 1
    • 1
    • 1
    • 1
    • 1
    C-Term

    原理

    MTMR9 (C Terminus)

    序列

    AELETEDGMQ ESP

    交叉反应

    人, 小鼠, 大鼠

    纯化方法

    Purified from goat serum by ammonium sulphate precipitation followed by antigen affinity chromatography using the immunizing peptide.

    免疫原

    Peptide with sequence C-AELETEDGMQESP, from the C Terminus of the protein sequence according to NP_056273.2.

    亚型

    IgG
  • 应用备注

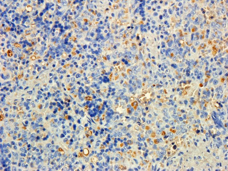
    Immunohistochemistry: In paraffin embedded Rat Spleen shows staining of cytoplasm in select cells. Recommended concentration: 5-10 μg/mL. This product has also been successfully used on Rat Hypothalamus.

    Peptide ELISA: antibody detection limit dilution 1:8000.

    说明

    Immunofluorescence: Strong expression of the protein seen in the cytoplasm and Endoplasmic reticulum of A549 and U2OS cells. Recommended concentration: 10μg/ml.

    Flow Cytometry: Flow cytometric analysis of A549 cells. R

    限制

    仅限研究用
  • 状态

    Liquid

    浓度

    0.5 mg/mL

    缓冲液

    Supplied at 0.5 mg/mL in Tris saline, 0.02 % sodium azide, pH 7.3 with 0.5 % bovine serum albumin.

    储存液

    Sodium azide

    注意事项

    This product contains Sodium azide: a POISONOUS AND HAZARDOUS SUBSTANCE which should be handled by trained staff only.

    注意事项

    Minimize freezing and thawing.

    储存条件

    -20 °C

    储存方法

    Aliquot and store at -20°C, with minimal freeze/thawing. A working aliquot may be refrigerated at 4°C for a few weeks and still remain viable.
  • 抗原

    MTMR9 (Myotubularin Related Protein 9 (MTMR9))

    别名

    MTMR9

    背景

    MTMR9, myotubularin related protein 9, MTMR8, C8orf9, LIP-STYX, DKFZP434K171, DKFZp434K171, myotubularin related protein 8, MGC126672, myotubularin-related protein 9, myotubularin-related protein 9 variant

    基因ID

    66036

    NCBI登录号

    NP_056273
You are here: