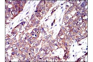
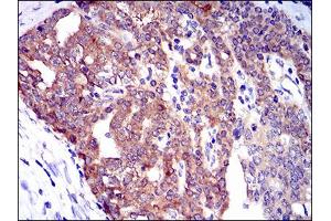
TWF1 抗体 (AA 335-384)
Our Local Distributor
北京 101111
Quick Overview for TWF1 抗体 (AA 335-384) (ABIN1846307)
抗原
See all TWF1 抗体适用
宿主
克隆类型
标记
应用范围
-
-
抗原表位
- AA 335-384
-
纯化方法
- Purified antibody
-
免疫原
- Purified recombinant fragment of human TWF1 (AA: 335-384) expressed in E. Coli.
-
亚型
- IgG1
-
-
-
-
应用备注
- Optimal working dilution should be determined by the investigator.
-
限制
- 仅限研究用
-
-
-
状态
- Liquid
-
浓度
- 1.0 mg/mL
-
缓冲液
- PBS with 0.05 % sodium azide and 0.5 % protein stabilizer.
-
储存液
- Sodium azide
-
注意事项
- This product contains Sodium azide: a POISONOUS AND HAZARDOUS SUBSTANCE which should be handled by trained staff only.
-
储存条件
- -20 °C
-
储存方法
- Aliquot and store at -20 °C. Avoid repeated freeze/thaw cycles.
-
-
- TWF1 (Twinfilin, Actin-Binding Protein 1 (TWF1))
-
别名
- TWF1
-
背景
- This gene encodes twinfilin, an actin monomer-binding protein conserved from yeast to mammals. Studies of the mouse counterpart suggest that this protein may be an actin monomer-binding protein, and its localization to cortical G-actin-rich structures may be regulated by the small GTPase RAC1.
-
分子量
- 40.3 kDa
-
基因ID
- 5756
-
UniProt
- Q12792
-
途径
- Regulation of Actin Filament Polymerization, Maintenance of Protein Location
抗原
-