电话:
+86 (0512) 65829739
传真:
+86 (010) 6788 5057
电子邮件:
orders@antibodies-online.cn

CD6 抗体 (AA 472-668)

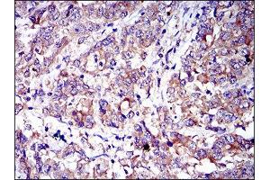
The 小鼠 单克隆 anti-CD6 antibody (ABIN1846113) specifically detects CD6 in WB, IHC 和 ELISA. The antibody is reactive with 人 samples.
产品编号 ABIN1846113
发货至: 中国
Contact our Customer Service for availability and price in your country. Contact Info

Our Local Distributor

中国
北京 101111
No. 88 KeChuang 6th Street
Beijing Economic Technological Development Area
Room 801-803
4A Biotech Co.,Ltd.
Tel +86 (0512) 65829739 传真 +86 (010) 6788 5057

Quick Overview for CD6 抗体 (AA 472-668) (ABIN1846113)

抗原

See all CD6 抗体
CD6

适用

  • 131
  • 41
  • 21
  • 1
  • 1
  • 1
  • 1

宿主

  • 69
  • 62
  • 8
  • 5
小鼠

克隆类型

  • 92
  • 46
  • 4
单克隆

标记

  • 55
  • 11
  • 10
  • 8
  • 6
  • 4
  • 4
  • 4
  • 4
  • 4
  • 4
  • 4
  • 2
  • 1
  • 1
  • 1
  • 1
  • 1
  • 1
  • 1
  • 1
  • 1
  • 1
  • 1
  • 1
  • 1
  • 1
  • 1
  • 1
  • 1
  • 1
  • 1
  • 1
  • 1
  • 1
This CD6 antibody is un-conjugated

应用范围

  • 84
  • 57
  • 54
  • 30
  • 18
  • 18
  • 13
  • 12
  • 10
  • 6
  • 6
  • 2
  • 2
  • 2
  • 1
Western Blotting (WB), Immunohistochemistry (IHC), ELISA
  • 抗原表位

    • 13
    • 3
    • 3
    • 3
    • 2
    • 2
    • 2
    • 1
    • 1
    • 1
    • 1
    • 1
    • 1
    • 1
    • 1
    • 1
    • 1
    • 1
    • 1
    • 1
    • 1
    AA 472-668

    纯化方法

    Purified antibody

    免疫原

    Purified recombinant fragment of human CD6 (AA: 472-668) expressed in E. Coli.

    亚型

    IgG1
  • 应用备注

    Optimal working dilution should be determined by the investigator.

    限制

    仅限研究用
  • 状态

    Liquid

    浓度

    1.0 mg/mL

    缓冲液

    PBS with 0.05 % sodium azide and 0.5 % protein stabilizer.

    储存液

    Sodium azide

    注意事项

    This product contains Sodium azide: a POISONOUS AND HAZARDOUS SUBSTANCE which should be handled by trained staff only.

    储存条件

    -20 °C

    储存方法

    Aliquot and store at -20 °C. Avoid repeated freeze/thaw cycles.
  • 抗原

    CD6

    别名

    CD6

    背景

    This gene encodes a protein found on the outer membrane of T-lymphocytes as well as some other immune cells. The encoded protein contains three scavenger receptor cysteine-rich (SRCR) domains and a binding site for an activated leukocyte cell adhesion molecule.

    分子量

    71.8 kDa

    基因ID

    923

    UniProt

    P30203
You are here: