电话:
+86 (0512) 65829739
传真:
+86 (010) 6788 5057
电子邮件:
orders@antibodies-online.cn

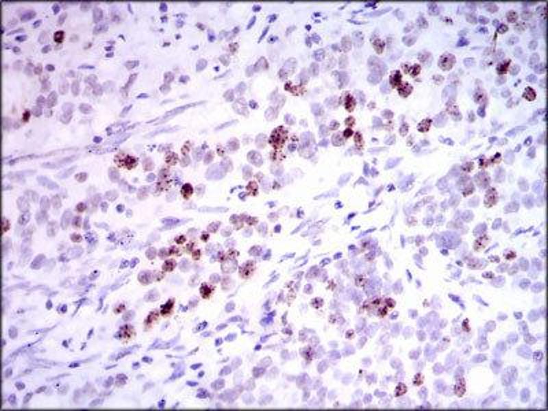
INCENP 抗体 (AA 369-583)

The 小鼠 单克隆 anti-INCENP antibody (ABIN1844019) specifically detects INCENP in WB, FACS, ELISA, IHC 和 IF/ICC. The antibody is reactive with 人 samples.
产品编号 ABIN1844019
发货至: 中国
Contact our Customer Service for availability and price in your country. Contact Info

Our Local Distributor

中国
北京 101111
No. 88 KeChuang 6th Street
Beijing Economic Technological Development Area
Room 801-803
4A Biotech Co.,Ltd.
Tel +86 (0512) 65829739 传真 +86 (010) 6788 5057

Quick Overview for INCENP 抗体 (AA 369-583) (ABIN1844019)

抗原

See all INCENP 抗体
INCENP (Inner Centromere Protein Antigens 135/155kDa (INCENP))

适用

  • 28
  • 10
  • 10
  • 1
  • 1
  • 1

宿主

  • 17
  • 11
小鼠

克隆类型

  • 16
  • 12
单克隆

标记

  • 14
  • 2
  • 2
  • 2
  • 2
  • 2
  • 2
  • 2
This INCENP antibody is un-conjugated

应用范围

  • 10
  • 6
  • 5
  • 5
  • 3
  • 3
  • 1
  • 1
Western Blotting (WB), Flow Cytometry (FACS), ELISA, Immunohistochemistry (IHC), Immunofluorescence (fixed cells) (IF/ICC)
  • 抗原表位

    • 7
    • 2
    • 1
    • 1
    • 1
    • 1
    • 1
    • 1
    AA 369-583

    纯化方法

    Purified antibody

    免疫原

    Purified recombinant fragment of human INCENP (AA: 369-583) expressed in E. Coli.

    亚型

    IgG1
  • 应用备注

    Optimal working dilution should be determined by the investigator.

    限制

    仅限研究用
  • 状态

    Liquid

    浓度

    1.0 mg/mL

    缓冲液

    PBS with 0.05 % sodium azide and 0.5 % protein stabilizer.

    储存液

    Sodium azide

    注意事项

    This product contains Sodium azide: a POISONOUS AND HAZARDOUS SUBSTANCE which should be handled by trained staff only.

    储存条件

    -20 °C

    储存方法

    Aliquot and store at -20 °C. Avoid repeated freeze/thaw cycles.
  • 抗原

    INCENP (Inner Centromere Protein Antigens 135/155kDa (INCENP))

    别名

    INCENP

    背景

    In mammalian cells, 2 broad groups of centromere-interacting proteins have been described: constitutively binding centromere proteins and 'passenger,' or transiently interacting, proteins (reviewed by Choo, 1997). The constitutive proteins include CENPA (centromere protein A, MIM 117139), CENPB (MIM 117140), CENPC1 (MIM 117141), and CENPD (MIM 117142). The term 'passenger proteins' encompasses a broad collection of proteins that localize to the centromere during specific stages of the cell cycle (Earnshaw and Mackay, 1994 [PubMed 8088460]). These include CENPE (MIM 117143), MCAK (MIM 604538), KID (MIM 603213), cytoplasmic dynein (e.g., MIM 600112), CliPs (e.g., MIM 179838), and CENPF/mitosin (MIM 600236). The inner centromere proteins (INCENPs) (Earnshaw and Cooke, 1991 [PubMed 1860899]), the initial members of the passenger protein group, display a broad localization along chromosomes in the early stages of mitosis but gradually become concentrated at centromeres as the cell cycle progresses into mid-metaphase. During telophase, the proteins are located within the midbody in the intercellular bridge, where they are discarded after cytokinesis.

    分子量

    105.4 kDa

    基因ID

    3619

    UniProt

    Q9NQS7

    途径

    Cell Division Cycle
You are here: