电话:
+86 (0512) 65829739
传真:
+86 (010) 6788 5057
电子邮件:
orders@antibodies-online.cn

IL-2 抗体

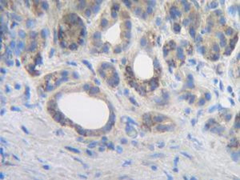
The 山羊 多克隆 anti-IL-2 antibody (ABIN181648) specifically detects IL-2 in WB, EIA, Func 和 IHC (p). The antibody is reactive with 人 samples.
产品编号 ABIN181648
发货至: 中国
Contact our Customer Service for availability and price in your country. Contact Info

Our Local Distributor

中国
北京 101111
No. 88 KeChuang 6th Street
Beijing Economic Technological Development Area
Room 801-803
4A Biotech Co.,Ltd.
Tel +86 (0512) 65829739 传真 +86 (010) 6788 5057

Quick Overview for IL-2 抗体 (ABIN181648)

抗原

See all IL-2 (IL2) 抗体
IL-2 (IL2) (Interleukin 2 (IL2))

适用

  • 166
  • 90
  • 44
  • 15
  • 8
  • 8
  • 6
  • 6
  • 4
  • 4
  • 4
  • 4
  • 3
  • 3
  • 3
  • 2
  • 1
  • 1
  • 1
  • 1

宿主

  • 126
  • 93
  • 68
  • 10
  • 4
  • 4
  • 3
  • 2
山羊

克隆类型

  • 170
  • 137
  • 1
多克隆

标记

  • 171
  • 38
  • 28
  • 22
  • 20
  • 9
  • 3
  • 1
  • 1
  • 1
  • 1
  • 1
  • 1
  • 1
  • 1
  • 1
  • 1
  • 1
  • 1
  • 1
  • 1
  • 1
  • 1
  • 1
  • 1
  • 1
  • 1
This IL-2 antibody is un-conjugated

应用范围

  • 177
  • 129
  • 77
  • 75
  • 52
  • 43
  • 26
  • 20
  • 14
  • 14
  • 13
  • 13
  • 12
  • 11
  • 10
  • 9
  • 6
  • 6
  • 4
  • 4
  • 4
  • 3
  • 3
  • 2
  • 2
  • 2
  • 2
  • 2
  • 2
  • 1
  • 1
  • 1
  • 1
  • 1
  • 1
  • 1
Western Blotting (WB), Enzyme Immunoassay (EIA), Functional Studies (Func), Immunohistochemistry (Paraffin-embedded Sections) (IHC (p))
  • 纯化方法

    Immunoaffinity chromatography

    免疫原

    Highly pure (> 98 %) recombinant human IL-2
  • 应用备注

    Neutralisation: To yield one-half maximal inhibition [ND50] of the biological activity ofhIL-2 (2.0 ng/mL), a concentration of 0.12 - 0.16 μg/mL of this antibody is required. ELISA: Indirect: To detect hIL-2 (using 100 μL/well antibody solution) a concentration of0.5 - 2.0 μg/mL of this antibody is required. In conjunction with compatible secondaryreagents, it allows the detection of at least 0.2 - 0.4 ng/well of recombinant hIL-2. Sandwich: To detect hIL-2 (using 100 μL/well antibody solution) a concentration of0.5 - 2.0 μg/mL of this antibody is required. In conjunction with Biotinylated Anti-HumanIL-2 as a detection antibody, it allows the detection of at least 0.2 - 0.4 ng/well ofrecombinant hIL-2. Western blot: To detect hIL-2 this antibody can be used at a concentration of 0.1 - 0.2g/mL. Used in conjunction with compatible secondary reagents the detection limit forrecombinant hIL-2 is 1.5 - 3.0 ng/lane, under either reducing or non-reducing conditions.
    Other applications not tested.
    Optimal dilutions are dependent on conditions and should be determined by the user.

    限制

    仅限研究用
  • 溶解方式

    Centrifuge vial prior to opening. Restore in sterile water to a concentration of 0.1 - 1.0 mg/mL.

    缓冲液

    PBS, pH 7.2

    注意事项

    Avoid repeated freezing and thawing.

    储存条件

    -20 °C

    储存方法

    Store the lyophilized antibody at -20 °C. Following reconstitution it is stable for two weeks at 2 - 8 °C. Frozen aliquots are stable for 6 months when stored at -20 °C.

    有效期

    6 months
  • 抗原

    IL-2 (IL2) (Interleukin 2 (IL2))

    别名

    Interleukin-2 / IL2

    背景

    Interleukin 2 (IL2) is a secreted cytokine that is important for the proliferation of T and B lymphocytes. The receptor of this cytokine is a heterotrimeric protein complex whose gamma chain is also shared by interleukin 4 (IL4) and interleukin 7 (IL7). The expression of this gene in mature thymocytes is monoallelic, which represents an unusual regulatory mode for controlling the precise expression of a single gene. The targeted disruption of a similar gene in mice leads to ulcerative colitis like disease, which suggests an essential role of this gene in the immune response to antigenic stimuli. IL2 has been shown to have antitumor effects in some studies. This is probably mediated by cytotoxic effector cells.Synonyms: IL-2, T-cell growth factor, TCGF

    基因ID

    9606

    UniProt

    P60568

    途径

    JAK/STAT Signaling, Regulation of Leukocyte Mediated Immunity, Positive Regulation of Immune Effector Process, Production of Molecular Mediator of Immune Response, Activated T Cell Proliferation
You are here: