TCEAL3 抗体 (AA 15-43)
Our Local Distributor
北京 101111
Quick Overview for TCEAL3 抗体 (AA 15-43) (ABIN1804789)
抗原
See all TCEAL3 抗体适用
宿主
克隆类型
标记
应用范围
-
-
抗原表位
- AA 15-43
-
特异性
- This TCAL3 antibody is generated from rabbits immunized with a KLH conjugated synthetic peptide between 15-43 amino acids from the N-terminal region of human TCAL3.
-
纯化方法
- Protein A purified
-
-
-
-
应用备注
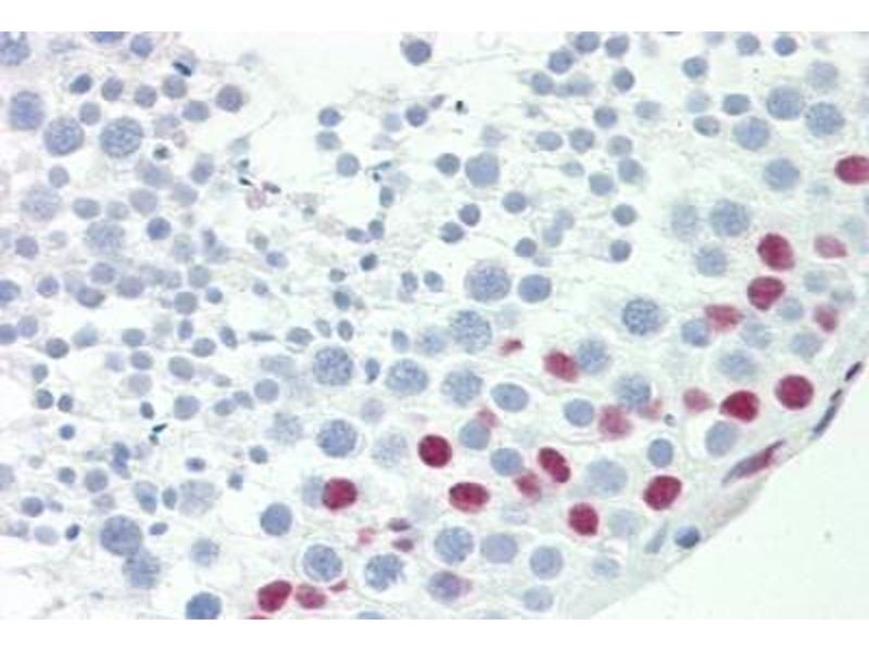
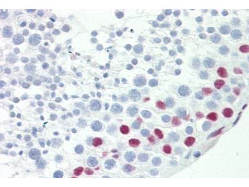
- Approved: IHC, IHC-P (1:100), WB (1:1000)
-
说明
-
Target Species of Antibody: Human
-
限制
- 仅限研究用
-
-
-
状态
- Liquid
-
浓度
- Lot specific
-
缓冲液
- PBS, 0.09 % sodium azide
-
储存液
- Sodium azide
-
注意事项
- This product contains Sodium azide: a POISONOUS AND HAZARDOUS SUBSTANCE which should be handled by trained staff only.
-
储存条件
- 4 °C,-20 °C
-
储存方法
- Maintain refrigerated at 2-8°C for up to 6 months. For long term storage store at -20°C.
-
有效期
- 6 months
-
-
- TCEAL3 (Transcription Elongation Factor A (SII)-Like 3 (TCEAL3))
-
别名
- TCEAL3
-
背景
-
Name/Gene ID: TCEAL3
Synonyms: TCEAL3, TCEA-like protein 3 -
基因ID
- 85012
-
UniProt
- Q969E4
抗原
-