电话:
+86 (0512) 65829739
传真:
+86 (010) 6788 5057
电子邮件:
orders@antibodies-online.cn

LMNTD1/IFLTD1 抗体 (Internal Region)

The 兔 多克隆 anti-LMNTD1/IFLTD1 antibody is suitable to detect LMNTD1/IFLTD1 in samples from 人, 小鼠 和 大鼠. It has been validated for WB, ELISA, IHC 和 IHC (p).
产品编号 ABIN1804760
发货至: 中国
Contact our Customer Service for availability and price in your country. Contact Info

Our Local Distributor

中国
北京 101111
No. 88 KeChuang 6th Street
Beijing Economic Technological Development Area
Room 801-803
4A Biotech Co.,Ltd.
Tel +86 (0512) 65829739 传真 +86 (010) 6788 5057

Quick Overview for LMNTD1/IFLTD1 抗体 (Internal Region) (ABIN1804760)

抗原

LMNTD1/IFLTD1 (LMNTD1) (Lamin Tail Domain-Containing Protein 1 (LMNTD1))

适用

人, 小鼠, 大鼠

宿主

  • 1

克隆类型

  • 1
多克隆

标记

  • 1
This LMNTD1/IFLTD1 antibody is un-conjugated

应用范围

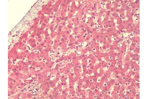
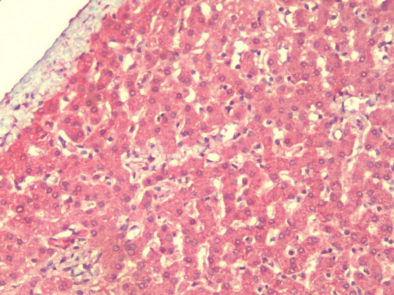
Western Blotting (WB), ELISA, Immunohistochemistry (IHC), Immunohistochemistry (Paraffin-embedded Sections) (IHC (p))
  • 抗原表位

    Internal Region

    特异性

    At least four isoforms of IFLTD1 are known to exist, this antibody will detect all but isoform 4

    纯化方法

    Immunoaffinity purified

    亚型

    IgG
  • 应用备注

    Approved: ELISA, IHC, IHC-P (5 μg/mL), WB (1 - 2 μg/mL)

    说明

    Target Species of Antibody: Human

    限制

    仅限研究用
  • 状态

    Liquid

    浓度

    Lot specific

    缓冲液

    PBS, 0.02 % sodium azide

    储存液

    Sodium azide

    注意事项

    This product contains Sodium azide: a POISONOUS AND HAZARDOUS SUBSTANCE which should be handled by trained staff only.

    注意事项

    Aliquot to avoid repeated freezing and thawing. Store undiluted.

    储存条件

    4 °C,-20 °C

    储存方法

    Store at 4°C for 3 months and -20°C, stable for up to 1 year. Avoid repeated freeze-thaw cycles.

    有效期

    12 months
  • 抗原

    LMNTD1/IFLTD1 (LMNTD1) (Lamin Tail Domain-Containing Protein 1 (LMNTD1))

    别名

    LMNTD1 / IFLTD1

    背景

    Name/Gene ID: LMNTD1

    Synonyms: LMNTD1, IFLTD1, PAS1C1

    基因ID

    160492

    UniProt

    Q8N9Z9
You are here: