电话:
+86 (0512) 65829739
传真:
+86 (010) 6788 5057
电子邮件:
orders@antibodies-online.cn

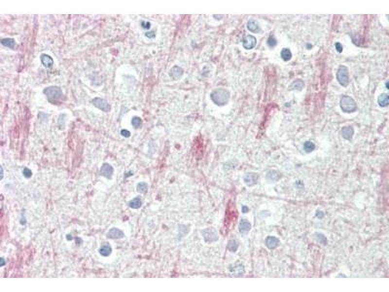
GPR125 抗体 (AA 1098-1109)

The 山羊 多克隆 anti-GPR125 antibody (ABIN1804467) specifically detects GPR125 in WB, ELISA, IHC 和 IHC (p). The antibody is reactive with 人, 小鼠, Cow, Bat, Hamster, 马, 猴 和 兔 samples.
产品编号 ABIN1804467
发货至: 中国
Contact our Customer Service for availability and price in your country. Contact Info

Our Local Distributor

中国
北京 101111
No. 88 KeChuang 6th Street
Beijing Economic Technological Development Area
Room 801-803
4A Biotech Co.,Ltd.
Tel +86 (0512) 65829739 传真 +86 (010) 6788 5057

Quick Overview for GPR125 抗体 (AA 1098-1109) (ABIN1804467)

抗原

See all GPR125 抗体
GPR125 (G Protein-Coupled Receptor 125 (GPR125))

适用

人, 小鼠, Cow, Bat, Hamster, 马, 猴, 兔

宿主

  • 28
  • 1
山羊

克隆类型

  • 29
多克隆

标记

  • 7
  • 3
  • 2
  • 2
  • 1
  • 1
  • 1
  • 1
  • 1
  • 1
  • 1
  • 1
  • 1
  • 1
  • 1
  • 1
  • 1
  • 1
  • 1
This GPR125 antibody is un-conjugated

应用范围

  • 23
  • 17
  • 13
  • 13
  • 9
  • 3
  • 3
  • 2
  • 1
  • 1
  • 1
Western Blotting (WB), ELISA, Immunohistochemistry (IHC), Immunohistochemistry (Paraffin-embedded Sections) (IHC (p))
  • 抗原表位

    • 16
    • 5
    • 1
    • 1
    • 1
    • 1
    AA 1098-1109

    特异性

    Human GPR125.

    纯化方法

    Immunoaffinity purified

    免疫原

    Synthetic peptide CTNKSASSFKNS from an internal region of human GPR125 (NP_660333.2). Percent identity by BLAST analysis: Human, Gorilla, Gibbon, Monkey, Marmoset, Mouse, Hamster, Elephant, Bovine, Bat, Horse, Rabbit (100%), Panda, Dog, Pig, Opossum, Turkey, Platypus, Xenopus (92%), Chicken (83%).

    Type of Immunogen: Synthetic peptide
  • 应用备注

    Approved: IHC, IHC-P (3.75 μg/mL), Peptide-ELISA (1:8000), WB (0.5 - 1.5 μg/mL)

    Usage: Peptide ELISA: antibody detection limit dilution 1:8000. Western Blot: Approx 140kD band observed in Human Ovary lysates (calculated MW of 146kD according to NP_660333.2). Recommended concentration: 0.5-1.5 μg/mL. An additional band of unknown identity was also consistently observed at 33kD. This band was successfully blocked by incubation with the immunizing peptide. We would appreciate any feedback from people in the field - have any such results been reported with other antibodies / lysates? Have any further splice variants / modified forms been reported?

    说明

    Target Species of Antibody: Human

    限制

    仅限研究用
  • 状态

    Liquid

    浓度

    Lot specific

    缓冲液

    Tris-buffered saline,  pH 7.3, 0.5 % BSA, 0.02 % sodium azide

    储存液

    Sodium azide

    注意事项

    This product contains Sodium azide: a POISONOUS AND HAZARDOUS SUBSTANCE which should be handled by trained staff only.

    注意事项

    Avoid repeated freezing and thawing.

    储存条件

    -20 °C

    储存方法

    Store at -20°C. Avoid freeze-thaw cycles.
  • 抗原

    GPR125 (G Protein-Coupled Receptor 125 (GPR125))

    别名

    ADGRA3 / GPR125

    背景

    Name/Gene ID: ADGRA3
    Subfamily: Orphan-B
    Family: GPCR

    Synonyms: ADGRA3, GPR125, TEM5L, G protein-coupled receptor 125, PGR21

    基因ID

    166647

    NCBI登录号

    NP_660333

    UniProt

    Q8IWK6
You are here: