电话:
+86 (0512) 65829739
传真:
+86 (010) 6788 5057
电子邮件:
orders@antibodies-online.cn

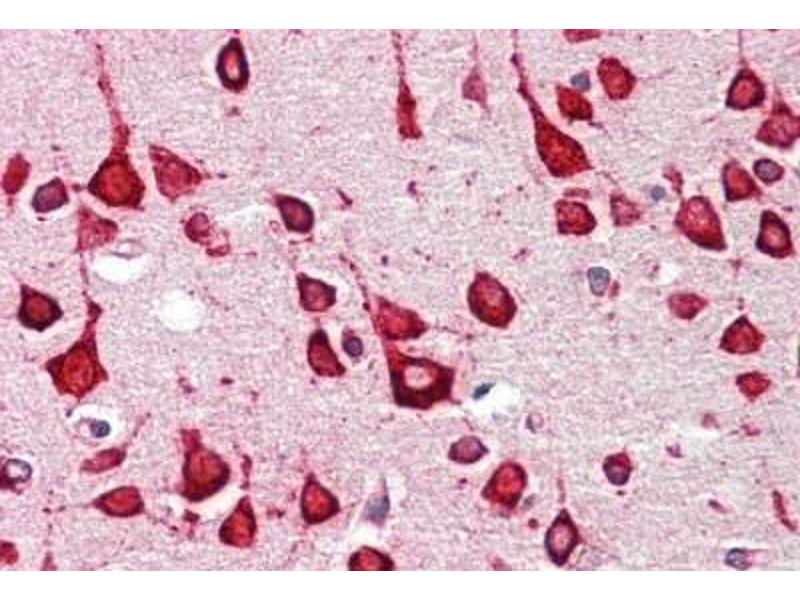
Galanin Receptor 1 抗体 (C-Term)

The 兔 多克隆 anti-Galanin Receptor 1 antibody (ABIN1804263) specifically detects Galanin Receptor 1 in ELISA, IHC 和 IHC (p). The antibody is reactive with 人 和 小鸡 samples.
产品编号 ABIN1804263
发货至: 中国
Contact our Customer Service for availability and price in your country. Contact Info

Our Local Distributor

中国
北京 101111
No. 88 KeChuang 6th Street
Beijing Economic Technological Development Area
Room 801-803
4A Biotech Co.,Ltd.
Tel +86 (0512) 65829739 传真 +86 (010) 6788 5057

Quick Overview for Galanin Receptor 1 抗体 (C-Term) (ABIN1804263)

抗原

See all Galanin Receptor 1 (GALR1) 抗体
Galanin Receptor 1 (GALR1)

适用

  • 52
  • 15
  • 10
  • 1
人, 小鸡

宿主

  • 54
  • 2
  • 1

克隆类型

  • 56
  • 1
多克隆

标记

  • 24
  • 4
  • 3
  • 3
  • 2
  • 1
  • 1
  • 1
  • 1
  • 1
  • 1
  • 1
  • 1
  • 1
  • 1
  • 1
  • 1
  • 1
  • 1
  • 1
  • 1
  • 1
  • 1
  • 1
  • 1
  • 1
This Galanin Receptor 1 antibody is un-conjugated

应用范围

  • 36
  • 19
  • 13
  • 8
  • 8
  • 5
  • 5
  • 2
  • 2
  • 1
  • 1
ELISA, Immunohistochemistry (IHC), Immunohistochemistry (Paraffin-embedded Sections) (IHC (p))
  • 抗原表位

    • 6
    • 5
    • 5
    • 3
    • 3
    • 2
    • 2
    • 1
    • 1
    • 1
    • 1
    • 1
    • 1
    • 1
    • 1
    C-Term

    特异性

    Human GALR1

    纯化方法

    Immunoaffinity purified

    免疫原

    Synthetic peptide corresponding to a region within amino acids 285 and 349 of galanin receptor 1 (SwissProt P47211). Percent identity by BLAST analysis: Human, Chicken (100%).

    Type of Immunogen: Synthetic peptide

    亚型

    IgG
  • 应用备注

    Approved: ELISA, IHC, IHC-P (10 μg/mL)

    Usage: Antibody reactive against peptide, detects immunogen.

    说明

    Target Species of Antibody: Human

    限制

    仅限研究用
  • 状态

    Liquid

    浓度

    Lot specific

    缓冲液

    0.1 M Tris-glycine,  pH 7, 10 % Glycerol, 0.01 % Thimerosal

    储存液

    Thimerosal (Merthiolate)

    注意事项

    This product contains Thimerosal (Merthiolate): a POISONOUS AND HAZARDOUS SUBSTANCE which should be handled by trained staff only.

    注意事项

    Avoid repeated freezing and thawing.

    储存条件

    -20 °C

    储存方法

    Aliquot and freeze at -20°C. Avoid freeze-thaw cycles.
  • 抗原

    Galanin Receptor 1 (GALR1)

    别名

    GALR1 / Galanin Receptor 1

    背景

    Name/Gene ID: GALR1
    Subfamily: Galanin
    Family: GPCR

    Synonyms: GALR1, Galanin receptor type 1, Galanin receptor 1, Galanin receptor galr1, Galanin-1 receptor, GALNR1, Gal receptor 1, Gal-r1, Galn1r, Gal-1 receptor, GAL1-R, Galanin r1 receptor, GALNR, GALR-1, Hugal 1-r

    基因ID

    2587

    UniProt

    P47211

    途径

    cAMP Metabolic Process
You are here: