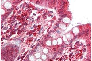
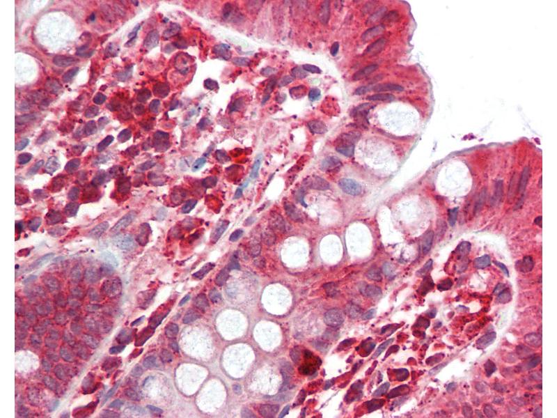
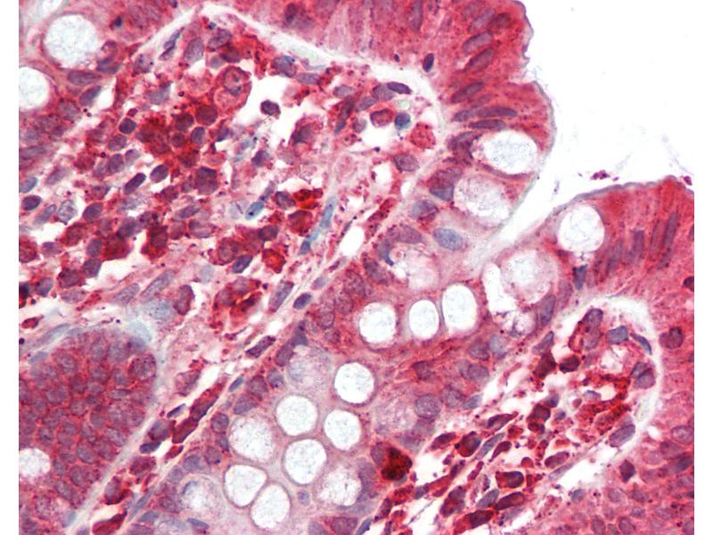
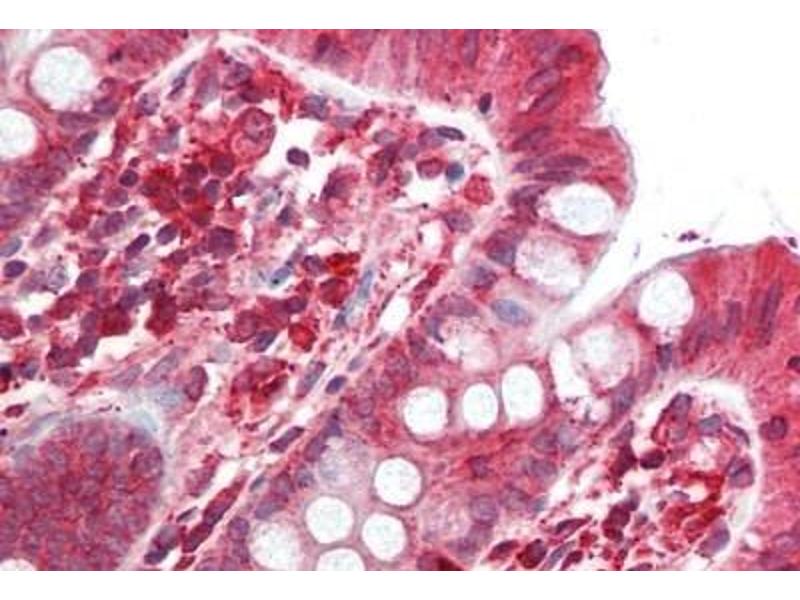
SGSM2 抗体 (Internal Region)
Our Local Distributor
北京 101111
Quick Overview for SGSM2 抗体 (Internal Region) (ABIN1804219)
抗原
适用
宿主
克隆类型
标记
应用范围
-
-
抗原表位
- Internal Region
-
特异性
- Multiple isoforms of SGSM2 are known to exist. SGSM2 antibody is predicted to not cross react with other SGSM family proteins.
-
纯化方法
- Immunoaffinity purified
-
亚型
- IgG
-
-
-
-
应用备注
-
Approved: IHC, IHC-P (5 μg/mL), WB (1 - 2 μg/mL)
Usage: SGSM2 antibody can be used for detection of SGSM2 by Western blot at 1-2 μg/mL. -
说明
-
Target Species of Antibody: Human
-
限制
- 仅限研究用
-
-
-
状态
- Liquid
-
浓度
- Lot specific
-
缓冲液
- PBS, 0.02 % sodium azide
-
储存液
- Sodium azide
-
注意事项
- This product contains Sodium azide: a POISONOUS AND HAZARDOUS SUBSTANCE which should be handled by trained staff only.
-
注意事项
- Avoid repeated freezing and thawing.
-
储存条件
- 4 °C,-20 °C
-
储存方法
- Store at 4°C for 3 months and -20°C, stable for up to 1 year. Avoid repeated freeze-thaw cycles.
-
有效期
- 12 months
-
-
- SGSM2 (Small G Protein Signaling Modulator 2 (SGSM2))
-
别名
- SGSM2
-
背景
-
Name/Gene ID: SGSM2
Synonyms: SGSM2, KIAA0397, RUTBC1 -
基因ID
- 9905
-
UniProt
- O43147
抗原
-